来源:庖丁解剖学
1
概述
- 踝关节撞击综合征为在运动时踝关节周围软组织或骨相互撞击、挤压所致造成的疼痛状态。主要表现为踝关节慢性疼痛,过度活动时疼痛加剧。
- 其病因主要为反复微创伤所致软骨损伤,引起韧带、滑膜炎性增生和骨赘产生,关节活动时增生的滑膜嵌入骨赘中而产生挤压疼痛。
- 包括骨性撞击和软组织撞击两类,骨性撞击综合症一般是指距骨和胫骨骨赘之间的撞击;软组织撞击为关节囊、滑膜、韧带增生、肥厚或瘢痕组织增生所致。
- 后踝撞击综合征与三角籽骨综合征有关;
- 前踝撞击综合征与胫骨、距骨骨质改变或软组织异常软组织异常有关。
2
分类
按照损伤部位的不同,踝关节撞击综合症可分为:
1.前外踝撞击综合症;2.前踝撞击综合症;
3.前内踝撞击综合症;
4.内踝撞击综合症;
5. 后内踝撞击综合症;
6. 后踝撞击综合症。






踝关节周围韧带
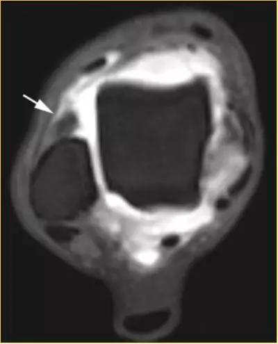
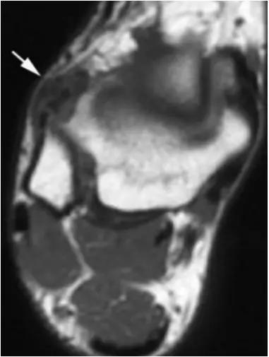
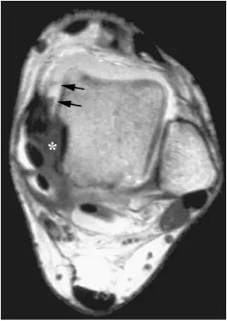
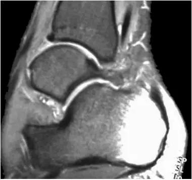
1.前外踝撞击综合症:
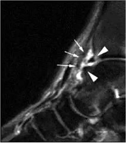
- 踝关节旋后损伤通常导致距腓前韧带、跟腓韧带以及前外侧关节囊撕裂合并关节内出血,继而产生瘢痕组织或滑膜增生肥厚。常伴距骨顶部外前部分的软骨侵蚀及后胫腓韧带和骨间膜损伤。需与跗骨窦综合症鉴别。
- 影像学表现为外侧沟内异常软组织或(和)前胫腓韧带(AITFL)异常肥厚。
- 因为炎症组织在关节镜下的形态类似膝关节的半月板,所以又称为“半月板样损伤”。


①踝关节外侧沟内异常软组织
②前胫腓韧带(AITFL)异常肥厚


T1WI FS C+



异常增厚的前胫腓韧带
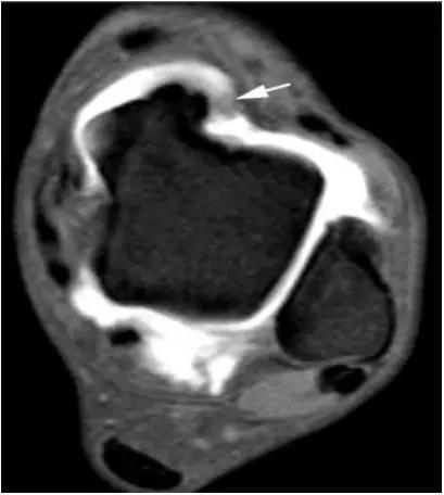
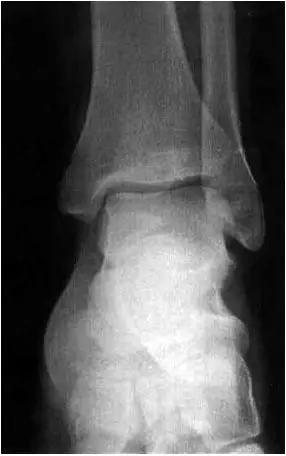
2.前踝撞击综合症:
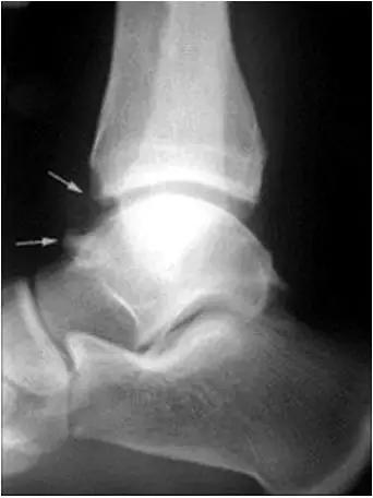
- 又称足球踝,通常为骨性撞击,由于经常性背屈导致胫骨远端关节面前缘与距骨颈部上缘骨赘反复撞击,有时滑膜软骨瘤病的游离体聚积在关节囊前部也会导致前撞击综合症。
- 放射学表现主要为胫骨前下缘与距骨颈部前上缘鸟嘴样骨刺形成。


放射学表现主要为胫骨前下缘与距骨颈部前上缘鸟嘴样骨刺形成
- Ⅰ度:滑膜撞击,X线片显示有炎性反应,骨刺大小为3mm;
- Ⅱ度:骨软骨反应性骨赘>3mm;
- Ⅲ度:严重的外生骨赘,可伴有或不伴有碎裂, 在距骨背侧可见继发性骨赘,常伴有骨赘的碎裂;
- Ⅳ度:距骨和胫骨关节骨性关节炎改变。






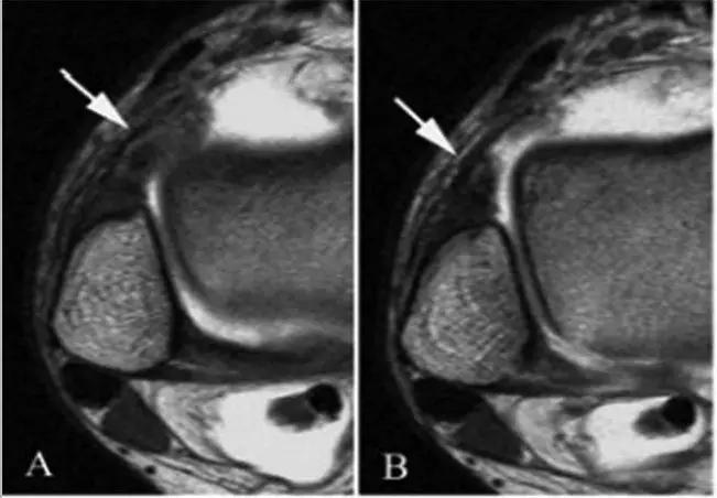
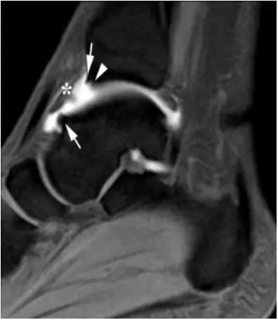
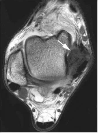
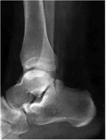
3.前 内踝 撞击综合症:
- 半月板样损伤或(和)胫距前韧带异常增厚。
- 需与副舟骨损伤鉴别。



T1WI FSC+
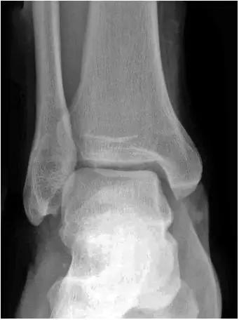
4.内侧撞击综合症:
踝关节内翻损伤会导致内踝和距骨相对应关节面软骨的撞击、骨赘形成,三角韧带撕裂或挤压,局部瘢痕或滑膜组织增生肥厚,在踝关节跖屈内翻时嵌入内踝后缘和距骨内侧壁之间,引起疼痛。微信公众平台:脊椎健康联盟
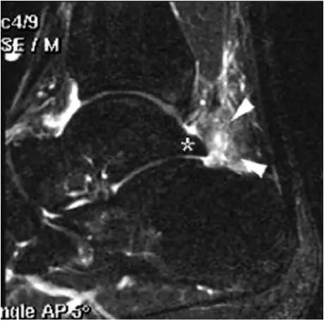
5.后内侧撞击综合症:
影像学表现为距骨胫骨间肌腱及趾长屈肌腱水肿、增厚,内踝及距骨后内侧骨赘形成。

轴位示意图示后内侧撞击综合征:M:内踝;L:外踝;TP:胫后肌腱;FDL:趾长屈肌腱;Talus:距骨。短箭:距骨胫骨间肌腱深层纤维;箭头:距骨胫骨间肌腱后部纤维。


X线平片示胫骨后部骨赘形成,MR质子像黑箭示胫骨内后侧骨赘形成,白箭示内后侧软组织增厚, 白箭头:胫后肌腱;黑箭头:趾长屈肌腱
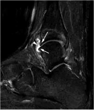
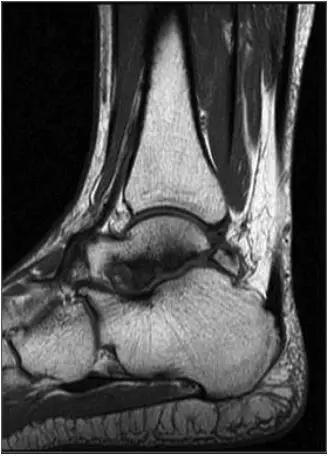
6.后踝撞击综合症:
- 骨性撞击多见,例如距骨后三角骨损伤,距骨或跟骨后突过度增生。软组织撞击表现为后胫腓韧带下部分、横韧带、后踝间韧带的撕裂或肥厚增生。
- 需与跟距后关节骨关节病鉴别。
- 影像学表现为距骨后三角骨的存在或损伤以及距骨后突骨赘形成,导致踝关节跖屈受限,可伴随拇长屈肌肌腱鞘炎症及邻近滑膜不同程度的炎性增生 。


正常后踝韧带;MRI 冠状位T2-FLAIR示踝间后韧带(长箭)
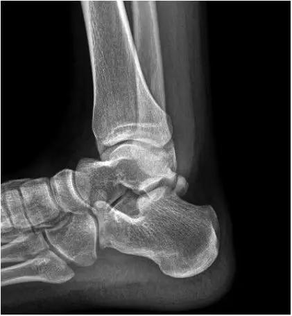
病 例
男,11岁,自述后踝下方疼痛,活动时为甚,并有一突起。







3
三角籽骨综合征
- 踝后部疼痛其常见的三种原因是眼后滑囊炎、长屈肌肌腱炎和三角骨综合征。
- 三角籽骨综合征(距骨后三角骨综合征)又称后踝撞击综合征或距骨受压综合征是后踝关节慢性反复疼痛常见的病因之一。
- 距骨后三角骨,是常见的变异,是踝部最多见的副骨,约占8.1% ,是由距骨后突独立骨化中心骨化而成。与距骨有软骨相连或完全分开,也可表现为独立的不规则骨块。三角骨与距骨后突外侧结节腓侧隐窝相对应。三角骨可以成对存在,还可以与外侧结节融合,形成单一的突起,并可与距骨融合或形成关节。三角骨与其它副骨一样,可妨碍足的运动,同时本身亦可受外界影响发生无菌性坏死。
1、病因病理机制:
- 多见于经常跖屈的患者,如芭蕾舞演员、登山运动员、足球运动员;
- 足强制性跖屈导致胫骨后下缘或跟骨上缘撞击;
- 三角籽骨、距骨后三角、周围软组织、肌腱损伤(后踝撞击综合征);
- 临床表现为后踝疼痛,活动受限。
2、影像学表现:
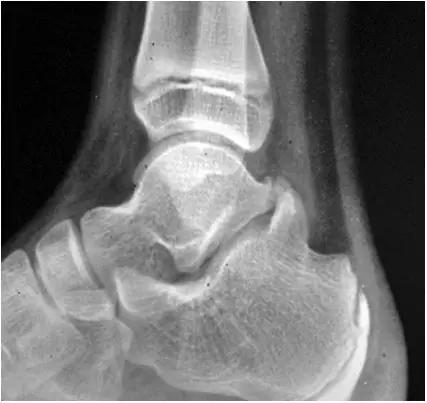
- 踝关节正侧位X 线平片,侧位片均显示距骨后方有三角形或椭圆形的距后三角骨。部分病例伴有轻度的踝关节骨性关节病。
- MRI 检查示距后三角骨及周围软组织有水肿信号,距后三角骨和距骨之间正常的低信号纤维连接中断,出现液性信号。
3、MR表现:
- 三角籽骨或距骨后三角结构模糊和变形,T1WI信号降低, T2WI信号升高,
- 周围脂肪水肿,
- 踇趾长屈肌腱信号升高,见鞘膜积液,
- 胫骨后下跟骨上缘骨结构形态变化和信号异常,
- 三角籽骨和距骨退行性囊变。






三角籽骨综合征



三角籽骨综合征并跟腱滑囊积液
4
距骨解剖
- 距骨位于胫骨、腓骨及跟骨之间,它支撑身体并将重力传导至足。距骨位于足部纵弓的顶点,是足的支持及活动中心。可协助完成足的背屈、跖屈、内收、外展、内翻和外翻等动作。微信公众平台:脊椎健康联盟
- 距骨分为头、颈、体三部分。距骨上有五个关节面,连接踝、距跟、距舟三个关节。70%的距骨表面被关节软骨所覆而无肌肉附着。
- 距骨头呈半图形,与舟骨的关节面构成距舟关节,底面有前跟关节和中跟关节面,分别与跟骨的相应关节面形成关节。
- 距骨颈是介于头体之间较细的部位,背面及内侧面粗糙为关节囊及韧带所附着。
- 距骨体呈不规则四方形,有上、下、外、内四个关节面,覆被以软骨。上关节面是呈鞍状的滑车关节面,内、外侧关节面与内、外踝的关节面相关节,外侧关节面较内侧大。距骨体的下面有一卵圆形的后跟关节面。距骨体后端向后下突出称距骨后突,其上有 一斜沟,为拇长屈肌腱沟,此沟将距骨后突分成两个结节,即内侧结节和外侧结节。












- 外侧:腓骨长肌和腓骨短肌;
- 内侧:胫骨后肌,拇长屈肌,趾长屈肌;
- 前侧:胫骨前肌,拇长伸肌,趾长伸肌;
- 后侧:跟腱。

【版权声明】本平台属公益学习平台,转载系出于传递更多学习信息之目的,且已标明作者和出处,如不希望被传播的老师可与我们联系删除
更多影像内容请*载下**放射沙龙APP,免费读片线上交流学习