
Marfan综合症患者的正面手腕标志(握住对面手腕时拇指和小指重叠)[1]
Marfan综合症患者的正面手腕标志(握住对面手腕时拇指和小指重叠)[1]马凡综合征(MFS)是结缔组织的遗传性疾病。[2]人们受影响的程度各不相同。[2]马凡的人往往又高又瘦,长臂,腿,手指和脚趾。[2]他们通常也有灵活的关节和脊柱侧凸。[2]最严重的并发症包括心脏和主动脉,二尖瓣脱垂和主动脉瘤的风险增加[2] [6]。其他常见的受累部位包括肺,眼,骨和脊髓覆盖。[2]MFS是一种常染色体显性疾病。[2]大约75%的时间,该病症是从父母遗传的,而25%的时间是遗传。[2]它涉及到制造原纤维蛋白的基因突变,导致结缔组织异常。[2]诊断通常基于根特标准。[3] [4]马凡综合征没有已知的治愈方法。[2]许多人的预期寿命正常,并得到适当的治疗。[2]管理通常包括使用β受体阻滞剂,如普萘洛尔或阿替洛尔,或者,如果不能耐受,则使用钙通道阻滞剂或ACE*制剂抑**。[4] [5]可能需要手术来修复主动脉或更换心脏瓣膜。[5]建议避免剧烈运动。[4]约有5,000到10,000个人患有马凡氏综合症。[4] [7]它在男性和女性中同样发生。[4]不同种族之间和世界不同地区的比率相似。[7]它以法国儿科医生安托万·马凡(Antoine Marfan)命名,他于1896年首次描述了该病。[8] [9]
马凡综合征(MFS)是结缔组织的遗传性疾病。[2]人们受影响的程度各不相同。[2]马凡的人往往又高又瘦,长臂,腿,手指和脚趾。[2]他们通常也有灵活的关节和脊柱侧凸。[2]最严重的并发症包括心脏和主动脉,二尖瓣脱垂和主动脉瘤的风险增加[2] [6]。其他常见的受累部位包括肺,眼,骨和脊髓覆盖。[2]
MFS是一种常染色体显性疾病。[2]大约75%的时间,该病症是从父母遗传的,而25%的时间是遗传。[2]它涉及到制造原纤维蛋白的基因突变,导致结缔组织异常。[2]诊断通常基于根特标准。[3] [4]
马凡综合征没有已知的治愈方法。[2]许多人的预期寿命正常,并得到适当的治疗。[2]管理通常包括使用β受体阻滞剂,如普萘洛尔或阿替洛尔,或者,如果不能耐受,则使用钙通道阻滞剂或ACE*制剂抑**。[4] [5]可能需要手术来修复主动脉或更换心脏瓣膜。[5]建议避免剧烈运动。[4]
约有5,000到10,000个人患有马凡氏综合症。[4] [7]它在男性和女性中同样发生。[4]不同种族之间和世界不同地区的比率相似。[7]它以法国儿科医生安托万·马凡(Antoine Marfan)命名,他于1896年首次描述了该病。[8] [9]
目录
1 症状和体征
1.1 骨骼系统
1.2 眼睛
1.3 心血管系统
1.4 肺
1.5 神经系统
2 遗传学
3 发病机制
3.1 Marfanoid-progeroid-lipodystrophy综合征
4 诊断
4.1 修订的根特病理学
4.2 鉴别诊断
5 管理
5.1 身体活动
5.2 药物治疗
5.3 手术
5.4 怀孕
6 预后
7 流行病学
8 历史
9 参考
体征和症状

前胸壁畸形,漏斗胸,患有马凡综合征的人
Marfan综合征有30多种不同的体征和症状。其中最突出的是影响骨骼,心血管和眼部系统,但整个身体的所有纤维结缔组织都会受到影响。
骨骼系统
大多数容易看到的迹象与骨骼系统有关。许多患有马凡氏综合征的人的身高都高于平均水平,有些患者身长不成比例,身材瘦弱,手腕瘦弱,手指和脚趾长。除了影响身高和肢体比例外,马凡综合征患者可能出现脊柱侧弯(脊柱侧凸)异常,胸椎前凸,胸骨异常压痕(漏斗胸)或胸骨突出(pectus carinatum),关节灵活性异常,高拱形牙齿丰满,咬合,扁平的脚,锤子的脚趾,弯曲的肩膀,以及皮肤上无法解释的妊娠纹。它还可能导致关节,骨骼和肌肉疼痛。一些患有马凡的人患有由症状性高腭和小颌引起的言语障碍。可能发生早期骨关节炎。其他迹象包括由于股骨头突出到异常深的髋部插座中,臀部运动范围有限。[10] [11]
眼睛

马凡氏综合症中的异位症:可见Zonular纤维。

Marfan综合征中的晶状体脱位,晶状体呈肾形,并靠在睫状体上
在Marfan综合征中,眼睛的健康可以在很多方面受到影响,但主要的变化是部分晶状体脱位,其中晶状体移出其正常位置。[11]这是因为睫状小带的弱点,即将镜片悬浮在眼内的结缔组织束。导致马凡综合征的突变削弱了小带并导致它们伸展。下部小带最常被拉伸,导致镜片向上和向外移动,但它也可以在其他方向上移动。近视和视力模糊是常见的,但是如果镜片高度半脱位,也可能导致远视。通过使用裂隙灯生物显微镜,可以在80%的Marfan综合征患者中临床检测晶状体的半脱位(部分脱位)。如果晶状体半脱位是微妙的,则可以使用高分辨率超声生物显微镜成像。
影响眼睛的其他体征和症状包括沿着球轴的长度增加,近视,角膜平坦,斜视,外斜视和内斜视。[11]
心血管系统
与马凡综合征相关的最严重的体征和症状涉及心血管系统:过度疲劳,呼吸短促,心悸,心跳加速或胸部疼痛向背部,肩部或手臂放射。由于循环不足,冷臂,手和脚也可能与MFS相关联。心脏杂音,心电图异常读数或心绞痛症状可能表明需要进一步调查。二尖瓣或主动脉瓣脱垂(控制血液通过心脏的流动)引起的反流迹象是由瓣膜的囊性内侧变性引起的,这通常与MFS相关(参见二尖瓣脱垂,主动脉瓣关闭不全)。然而,导致医生考虑潜在病症的主要迹象是扩张的主动脉或主动脉瘤。有时,直到升主动脉结缔组织(囊性内侧变性)减弱导致主动脉瘤或主动脉夹层,外科急症,才会出现心脏问题。主动脉夹层通常是致命的,并且在背部向下辐射时会产生疼痛,从而产生撕裂感。
由于潜在的结缔组织异常导致MFS,假体二尖瓣开裂的发生率增加。[12]应注意尝试修复受损的心脏瓣膜而不是更换。
肺
肺部症状不是MFS的主要特征[13],但自发性气胸很常见[14]。在自发性单侧气胸中,空气从肺中逸出并占据胸壁和肺之间的胸膜空间。肺部变得部分压缩或塌陷。这可能导致疼痛,呼吸短促,紫绀,如果不治疗,也会导致死亡。 MFS的其他可能的肺部表现包括睡眠呼吸暂停[15]和特发性阻塞性肺病[16]。已经描述了肺部的病理变化,例如囊性变化,肺气肿,肺炎,支气管扩张,肺大疱,根尖纤维化和先天性畸形,例如中叶发育不全[13]。
神经系统
硬脑膜扩张,包裹脊髓的硬脊膜囊结缔组织减弱,可导致生活质量下降。它可以存在很长时间而不会产生任何明显的症状。可能出现的症状包括腰痛,腿痛,腹痛,下肢其他神经系统症状或头痛 - 症状通常在平躺时会减轻。然而,在X射线上,硬脑膜扩张症在早期阶段并不常见。症状恶化可能需要对下脊柱进行MRI检查。已经发展到这个阶段的硬脑膜扩张症将在MRI中显示为在腰椎磨损的扩张袋。[17]与MFS相关的其他脊柱问题包括退行性椎间盘疾病,脊髓囊肿和自主神经系统功能障碍。
遗传学
由于其常染色体显性特征,具有该病症的每个父母具有将遗传缺陷传递给任何儿童的50%风险。大多数MFS患者都有另一个受影响的家庭成员。所有病例中约有15-30%是由于重新发生的基因突变所致; [18]这种自发突变发生在大约20,000个分娩中。马凡综合征也是显性负突变和单倍体不足的一个例子。[19] [20]它与可变表现力有关;不完全的外显率尚未明确记录。
发病

显微照片显示主动脉瓣的粘液性变性,这是MFS的常见表现
马凡氏综合征是由15号染色体上的FBN1基因突变引起的[21],它编码纤维蛋白-1,这是细胞外基质的糖蛋白成分。纤维蛋白-1对于细胞外基质的正确形成是必需的,包括弹性纤维的生物发生和维持。细胞外基质对于结缔组织的结构完整性至关重要,但也可作为生长因子的储库。[18]弹性纤维遍布全身,但在主动脉,韧带和眼睛的睫状小带*特中**别丰富;因此,这些地区受影响最严重。它也可能是由那些对这种疾病敏感的人进行的一系列静脉内晶体治疗引起的。
已经创建了携带单拷贝突变体原纤维蛋白-1的转基因小鼠,其突变类似于已知引起MFS的人基因中发现的突变。该小鼠品系概括了人类疾病的许多特征,并有望提供对疾病发病机理的见解。降低正常的原纤维蛋白1水平会导致小鼠与马凡相关的疾病。[22]
转化生长因子β(TGF-β)在MFS中起重要作用。原纤维蛋白-1直接结合潜在形式的TGF-β,使其隔离并且不能发挥其生物活性。最简单的模型表明,由于隔离不足,原纤维蛋白-1水平降低使TGF-β水平升高。尽管TGF-β水平升高是导致该疾病所见的特定病理的原因尚未得到证实,但已知会发生释放蛋白酶的炎症反应,所述蛋白酶缓慢降解弹性纤维和细胞外基质的其他组分。 TGF-β途径的重要性通过发现类似的Loeys-Dietz综合征得到证实,该综合征涉及染色体3上的TGFβR2基因,TGF-β的受体蛋白[23]。马凡综合征经常与Loeys-Dietz综合征相混淆,因为这两种病症之间存在相当大的临床重叠。[24]
Marfanoid-progeroid-lipodystrophy综合征
主要文章:Marfanoid-progeroid-lipodystrophy综合症
Marfanoid-progeroid-lipodystrophy syndrome(MPL),也称为Marfan脂肪营养不良综合征(MFLS),是MFS的一种变体,其中Marfan症状伴有通常与新生儿progeroid综合征相关的特征(也称为Wiedemann-Rautenstrauch综合征) 其中白色脂肪组织的水平降低。[25] 自2010年以来,有证据表明MPL是由FBN1基因3'末端附近的突变引起的[26] [27]。 已经表明,这些人也缺乏白色脂肪肽,一种葡糖调节蛋白激素,它是一种原纤维蛋白的C末端切割产物。 这些人中所见的白色脂肪肽水平低于预期的杂合子基因型,与显性负效应一致[28]。

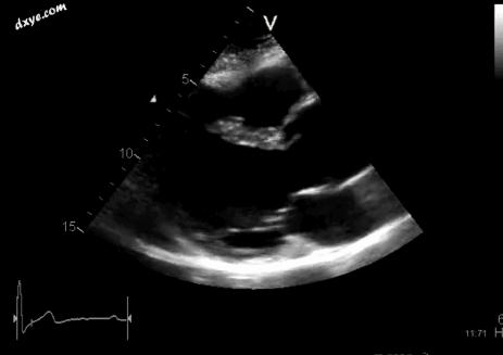
Marfan综合征患者的超声波,显示扩张的主动脉根部
MFS的诊断标准于1996年在国际上达成一致。[29]诊断基于家族病史以及在一个人群中发生的一般人群中罕见的疾病的主要和次要指标的组合 - 例如:在另一个身体系统中具有一个或多个体征的四个骨骼体征,例如眼睛和一个人心血管疾病。 MFS可能导致以下情况,但也可能发生在没有任何已知潜在疾病的人群中。
主动脉瘤或扩张
蜘蛛脚样趾
胃食管反流病
Bicuspid主动脉瓣
囊肿
囊性内侧坏死
退行性椎间盘疾病
偏离的隔膜[30]
硬脑膜扩张症
早期白内障
早期青光眼[31]
早期骨关节炎[32]
晶状体异位
肺气肿[33]
眼虹膜缺陷[34]
高于平均水平
心悸[35]
疝气
高拱形的口感
关节的运动过度
脊柱后凸(驼背)
漏水心脏瓣膜
错颌畸形
小颌畸形(小下颚)[34]
二尖瓣脱垂
近视(近视)
阻塞性肺病
骨质疏松症(低骨密度)[36]
鸡胸或漏斗胸
扁平足(平脚)[37]
气胸(肺部塌陷)
视网膜脱离
脊柱侧弯
睡眠呼吸暂停[15]
妊娠纹不是妊娠[38]或肥胖
牙齿拥挤[38]
“狭窄,瘦削的脸”[34]
颞下颌关节功能障碍(TMD)[39]
修改了根特病理学

拇指标志;上:正常,下:马凡综合症
2010年,根特病理学被修订,新的诊断标准取代了1996年的先前协议。七个新标准可以导致诊断:[40] [41]
在没有MFS家族史的情况下:
主动脉根Z分数≥2和异位外膜
主动脉根Z分数≥2和FBN1突变
主动脉根Z分数≥2且全身评分*> 7分
Ectopia lentis和具有已知主动脉病理学的FBN1突变
存在MFS家族史(如上所述):
晶状体异位
系统评分*≥7
主动脉根Z分数≥2
系统评分:
手腕和拇指征= 3(手腕或拇指征= 1)
Pectus carinatum畸形= 2(漏斗胸或胸部不对称= 1)
后足畸形= 2(平原肌腱= 1)
硬脑膜扩张症= 2
髋臼前突 = 2
气胸= 2
上段/下段比率降低,手臂/身高增加,无严重脊柱侧凸= 1
脊柱侧凸或胸腰椎后凸畸形= 1
肘部伸展减少= 1
面部特征(3/5)= 1(dolichocephaly,眼球内陷,下垂睑裂,髌骨发育不全,后颌畸形)
皮肤纹(妊娠纹)= 1
近视> 3屈光度= 1
二尖瓣脱垂1/4 1
拇指征(Steinberg's sign)是通过让人尽可能弯曲拇指然后将手指放在拇指上而引出的。正拇指征是整个远端指骨在手的尺骨边界之外可见的地方,由拇指的过度活动以及比平时更长的拇指的组合引起。
手腕标志(Walker's sign)是通过要求人将一只手的拇指和手指卷绕在另一只手腕上而引出的。 正手腕标志是小手指和拇指重叠的地方,由薄手腕和长手指组合而成。[42]
鉴别诊断
许多其他疾病可以产生与马凡综合征相同类型的身体特征。[43] 基因检测和评估其他体征和症状可以帮助区分这些。 以下是一些可以表现为“marfanoid”的疾病:
先天性挛缩性蛛网膜下腔或Beals综合征
Ehlers-Danlos综合症
高胱氨酸尿症
Loeys-Dietz综合征
MASS表型
多发性内分泌肿瘤,2B型
Shprintzen-Goldberg综合征[44]
Stickler综合症
管理
马凡综合征无法治愈,但过去几十年[预计?]的预期寿命显着增加,现在与普通人相似。[45]
建议定期检查以监测心脏瓣膜和主动脉的健康状况。马凡氏综合症通过解决每个问题来治疗,尤其是即使是幼儿的预防*药性**物,也可以减缓主动脉扩张的进展。该治疗策略的目标是通过消除心律失常,最小化心率和降低人的血压来减缓主动脉扩张的进展并防止对心脏瓣膜的任何损害。
体力活动
美国心脏协会对没有或轻度主动脉扩张的马凡综合征患者提出以下建议:[46]
可能允许的活动:保龄球,高尔夫,滑冰(但不是冰上曲棍球),浮潜,快走,跑步机,固定自行车,适度远足和双打网球。
中级风险:篮球(全场和半场),壁球,壁球,跑步(短跑和慢跑),滑雪(下坡和越野),足球,单打网球,触摸(旗)足球,棒球,垒球,骑自行车,游泳,骑摩托车和骑马。
高风险:健美,举重(非自由和自由重量),冰上曲棍球,攀岩,风帆冲浪,冲浪和水肺潜水。
药物治疗
管理通常包括使用β受体阻滞剂,如普萘洛尔或不耐受的钙通道阻滞剂或ACE*制剂抑**。[4] [5]
手术
如果主动脉扩张进展为显着直径的动脉瘤,导致解剖或破裂,或导致主动脉或其他瓣膜失效,则手术(可能是复合主动脉瓣移植或保留瓣膜的主动脉根部置换)变为必要。虽然主动脉移植手术(或任何血管手术)是一项严肃的工作,但如果在选修的基础上进行,通常是成功的。[47]在急性主动脉夹层或破裂的情况下手术是更成问题的。当主动脉根部直径达到50毫米(2.0英寸)时,通常会考虑选择性主动脉瓣/移植手术,但每个病例都需要由合格的心脏病专家进行专门评估。新的保留瓣膜的手术技术正变得越来越普遍。[48]由于患有马凡综合征的人寿命更长,其他血管修复正变得越来越常见,例如,胸主动脉瘤的下行修复和主动脉以外血管的动脉瘤。
Marfan综合征的骨骼和眼部表现也可能是严重的,尽管不会危及生命。这些症状通常以适当的方式治疗,例如止痛药或肌肉松弛剂。由于Marfan综合征可能导致无症状的脊柱异常,因此任何对Marfan进行的脊柱手术都应该遵循详细的成像和仔细的手术计划,无论手术的适应症如何。
自发性气胸的治疗取决于胸膜腔内的空气量和个体病情的自然进展。在一到两周内,如果没有积极治疗,小气胸可能会消退。复发性气胸可能需要进行胸部手术。中等规模的气胸可能需要在医院进行几天的胸腔引流管理。大型气胸可能是需要紧急减压的医疗紧急情况。
作为替代方法,也正在使用为主动脉根定制的支撑。[49]截至2017年,该程序已在100多人中使用,第一例发生在2004年。[49] [50]
怀孕
在怀孕期间,即使在没有先天性心血管异常的情况下,患有马凡综合征的女性也存在主动脉夹层的显着风险,即使在快速治疗时也常常是致命的。然后,患有马凡氏综合症的女性应在受孕前接受全面评估,并在怀孕期间每6至10周进行一次超声心动图检查,以评估主动脉根部直径。对于大多数女性来说,可以安全地进行阴道分娩。[51]
马凡综合征主要表达。这意味着一个孩子与一个父母的基因的持有者有50%的概率得到该综合症。 1996年,对Marfan进行了第一次植入前基因检测(PGT)治疗; [52]实质上PGT意味着对早期IVF胚胎细胞进行基因检测,并丢弃受Marfan突变影响的胚胎。
预测
在现代心血管外科技术和药物如氯沙坦和美托洛尔之前,马凡氏综合征患者的预后并不好:一系列无法治愈的心血管问题很常见。寿命减少了至少三分之一,许多人因心血管问题在十几岁和二十几岁时死亡。今天,马凡氏综合征的心血管症状仍然是疾病诊断和治疗中最重要的问题,但是充分的预防性监测和预防性治疗提供了接近正常寿命的事物,并且随着更多患者的寿命延长,正在发现更多的疾病表现。 [53]患有马凡综合症的女性比男性寿命更长。[11]
流行病学
马凡综合征对男性和女性的影响相同,[54]并且突变没有显示出种族或地理偏见。[7]据估计,5,000至10,000人中约有1人患有马凡综合症。[4]
历史
马凡综合征以Antoine Marfan命名,[8]这位法国儿科医生在注意到一名五岁女孩的惊人特征后于1896年首次描述了该病。[9] [55] 1991年,弗朗切斯科·拉米雷斯在纽约市西奈山医疗中心首次发现了与该疾病有关的基因。[56]
图文转至公众号丁香叶。