本文前言
经典的影像总是让大家过目不忘,小编希望大家在记住这些经典影像图像的同时也能够深刻理解其形成原理,俗话说的好:知其然,知其所以然。只有这样我们才能够以不变应万变!
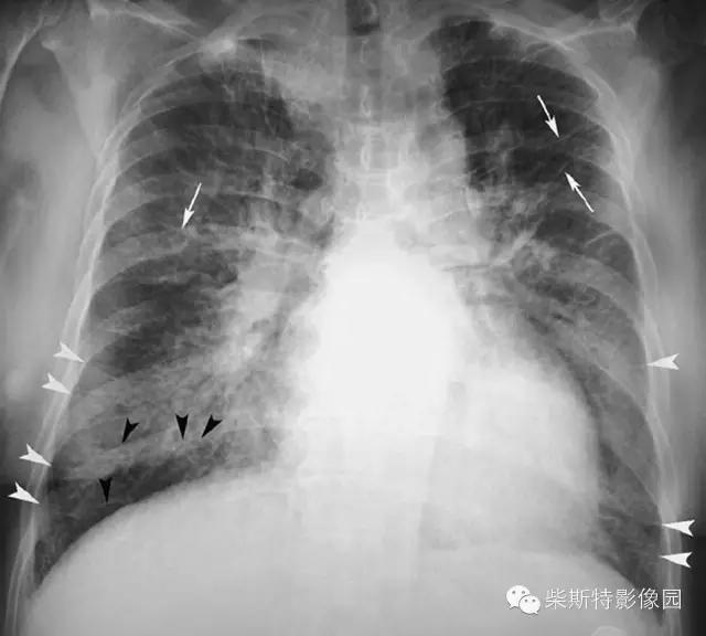
经典图像第一例:


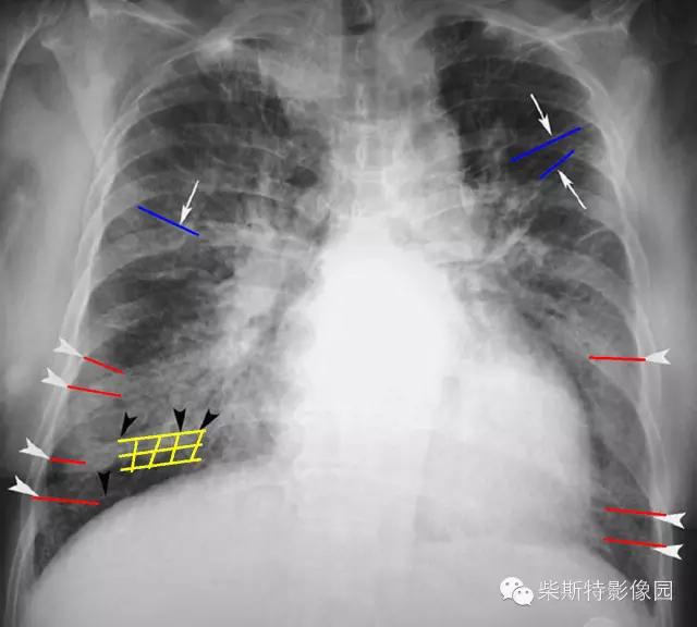
小编标注:蓝色线是克氏A线,红色线是克氏B线,黄色网格状线是克氏C线。
经典图像第二例:



大家找到克氏B线了吗?
爱丽丝:小编,何谓克氏线呢?
柴斯特:克氏线是一种X线征象,病变导致肺血管周围有渗出液,使血管纹理失去锐利的轮廓,而变得模糊,小叶间隔中的积液使得间隔增厚,形成小叶间隔线,即克氏线。在肺野内呈异常线状阴影,主要分三种:
解析
1.A线:表现为直的或近乎直的指向肺门的不分支的致密细线影,呈水平走行,长度约2~4cm,但很少超过4cm,宽度为0.5~1mm。多见于上肺野。
2.B线:为克氏线征中最常见者,表现为较短的不分又的梯状致密横线影,长不超过2cm,宽不超过1mm。常位于两下肺野的外带(肋隔角)平行的次出现,亦可见于中肺野,但从不出现于上肺野。其外端常抵达胸膜缘并与之垂直,以右侧为多见.
3.C线:少见,表现为很细很短的线状影,可向任何方向走行,相互交织呈蛛网状影。其可见于肺的任何部分,好发于下肺。
学而思柴斯特
克氏线征,亦称间隔线征。主要有三类线影,即A、B、C线,A线即肺上叶的线状影,B线即肺基底外侧的线影,C线为分布于全肺的网状影。1933年Kerley氏首先描述于心脏病人胸片上见到一些异常线影,1951年他进而把它们分成A、B、C三类。1979年Kerley氏等描述了另一种间隔线,即D线。
引起克氏线征的病因有许多种,其中最常见的原因,是继发于肺静脉高压的间质性肺水肿。间质性肺水肿引起的克氏线征为可逆性改变,而尘肺、癌性淋巴管炎引起的克氏线征则为不可逆性改变。K氏发现线状阴影,当时认为是淋巴管扩张所致。但是后来的研究表明,克氏线征主要是肺小叶间隔增厚所致,而多种疾病可引起小叶间隔增厚,但主要系间质本身水肿引起;扩张的淋巴管在小叶间隔的增厚上只起不到十分之一的作用。另外,克氏线征尤其是B线的出现与肺静脉压力的改变有密切的关系,压力大于正常值2~3倍时,方出现克氏线;在经治疗,肺静脉压力下降后,克氏线即可消失。根据间质肺水肿的放射—病理对照研究,若一部分肺小叶及叶间隔按常规投照与X线相切时,则显示为A、B和D线。但如外围的肺小叶呈轴位观时,则小叶间隔与任意分布于中央的深部间隔互相重叠,在X线片上表现为不规则、互相交错的线影,即C线;因此C线可能是小叶间隔增厚的另一种表现形式,并非是某一种特定的结构。克氏线征出现的部位与小叶间隔的解剖学特点有关。
Reid氏等通过对人肺结缔组织间隔的解剖学研究,发现他们在肺的外围一般发育良好,并较恒定,明确显示次级肺小叶。但结缔组织间隔在中央部发育差,分布缺乏规律,沿叶间裂表面的间隔常缺如。上叶的小叶间隔的数量以肺尖区及前面多,而外侧较少或缺如。中叶的小叶间隔主要分布在前内及前外侧。舌叶前外侧面多,而后面少。下叶则主要分布在背段、前2/3的肋膈面及后表面。在肺的中上野,可以明显地看到分布于上叶头前区长的连续结缔组织间隔。在X线上,它们代表A线。在舌叶和中叶前外部,结缔组织间隔发育良好,小叶分布与胸膜面垂直,它们在后前位及侧位胸片上均能清楚地显示,在X线上代表B线。而D线几乎总是见于肺的前部,特别是中叶和舌叶。
来源:柴斯特影像园
【版权声明】本平台属公益学习平台,转载系出于传递更多学习信息之目的,且已标明作者和出处,如不希望被传播的老师可与我们联系删除