来源:医疗互动
翻译整理:许昌市中心医院 牛老师
原作者:Jennifer L. Pierce1, Erin C. McCrum1, Alexandra K. Rozas1, Dawn M. Hrelic1 and Mark W. Anderson1 2015年
跖跗关节损伤(Lisfranc Injury):
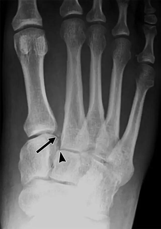
跖跗关节复合体由五个跖骨关节组成。跖跗关节的骨结构由多个韧带支撑。跖跗损伤最常见的机制是通过关节的轴向载荷,而脚是刚性跖屈。这种力量向背面驱动跖骨,并产生韧带断裂并沿着跖骨关节骨折。所有跖跗关节损伤的大约20%出现漏诊,误诊往往导致衰弱足不稳定和变性[11]。正常情况下,第一跖骨和楔骨的内侧缘在脚的正位X线片上是对齐的,第二跖骨和中间楔骨的内侧边缘也是一致的。第二跖骨相对于第二楔形关节的横向移位的第一和第二跖骨关节之间的间隙的扩大是最可靠的标志[3],并且在该位置间隙大于2mm表示跖跗韧带伤害和不稳定。然而,不负重的X射线照片可能正常,在这些情况下,承重视图通常是有帮助的(图1A)。

图1A -49岁的女士与跖跗受伤。A,负重前后X线片显示近端第一和第二跖骨之间的间隔扩大。第二跖骨关节(箭头)和第一跖骨关节的内侧偏移以及相关的斑点骨折(箭头)的明显异常。

图1B,冠状CT图像显示第二跖骨底部的骨折片(箭头)比A中更好的显示以及额外的跖骨骨折(箭头)。
多平面CT扫描比普通X线更能清晰准确的观察跖跗关节损伤相关的细微裂缝和半脱位(图1B),而MRI能更好的描述相关软组织损伤。跖跗韧带的组分最好在非脂肪抑制的长轴和短轴MR图像上进行评估(图2)。流体敏感的T2加权序列非常适用于描述韧带撕裂和相关发现,如肌肉撕裂,荚膜破裂,骨髓挫伤和骨折,以及沿着第一跖骨轴的流体跟踪[(图 3)。
图2〜72岁男性正常的跖跗韧带复合体。长轴质子密度加权MR图像显示正常Lisfranc韧带(箭头)(C =内侧楔骨,2 =第二跖骨)。
图3 -22岁的男性,大学四分卫跖跗关节损伤。长轴STIR MR图像显示跗韧带(大箭头)和流体沿着第一跖骨轴(小箭头所示)延伸的破坏。
冠突骨折和肘关节脱位(Coronoid Fracture and Elbow Dislocation)
虽然肘关节骨折仅有1-2%涉及冠状突,但大部分与肘关节脱位相关。因此,分离的冠突骨折经常预示严重的伤害,包括其它射线照相隐匿骨折和韧带撕裂。
冠状骨充当前支柱,以防止后脱位,肘关节脱位的成人中最常见的类型。在上肢向前伸伴下降的过程中,作用在肘部的力大约40%跨越肱尺关节联合分布,并集中在冠突。肘部的外旋和外翻力量导致外侧尺骨副韧带撕裂,其次是内侧囊性轻度中断的进行性侧向增加后外侧旋转不稳定的严重性。肘部的外旋和外翻力量导致外侧尺骨副韧带撕裂,随着进展侧向内侧囊(capsuloligamentous)轻度中断,增加后外侧旋转不稳定的严重性。当肘部向后脱位时,冠状突经常随着对滑车的撞击而断裂。
肘部的恐怖三联征描述了后肘脱位和冠状突骨折和桡骨头部骨折的组合。因为这个三联征与广泛韧带破坏和长期不稳定的高风险相关联,早期诊断和手术是对于实现最佳的功能性结果是必不可少的。
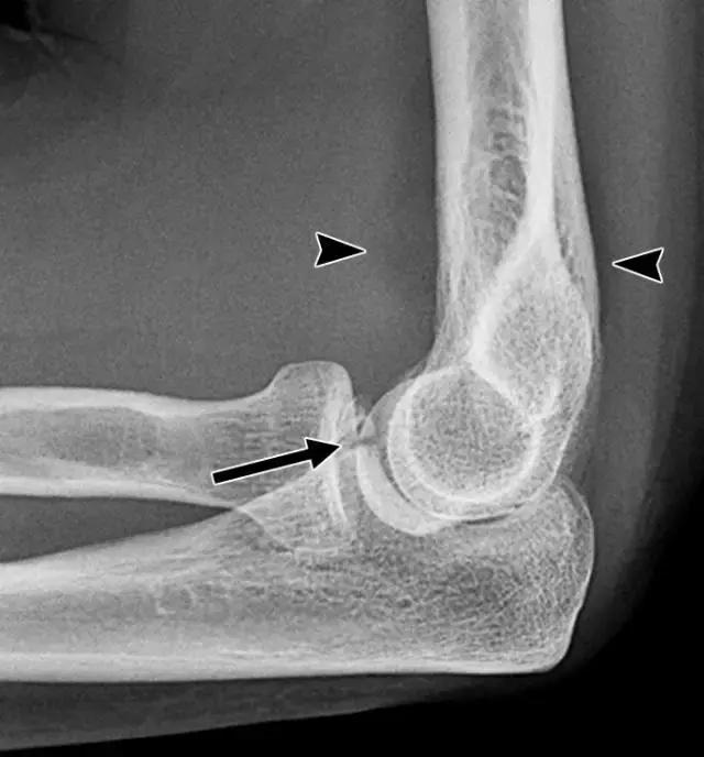
检查X线片冠状突骨折时应进一步横断面成像评估(图4A)。MRI有助于评估与肘关节脱位相关的软组织和骨髓损伤[17,26](图4B)。

图4A -45岁女性,肘关节脱位。侧位片显示关节积液(箭头)和冠状突尖端横向骨折(箭头)。

图4B,冠状动脉脂肪抑制T2加权MR图像显示CAPT和冠状突(Co)中的骨髓水肿,侧面韧带撕裂(箭头)和关节间隙侧向异常扩大。

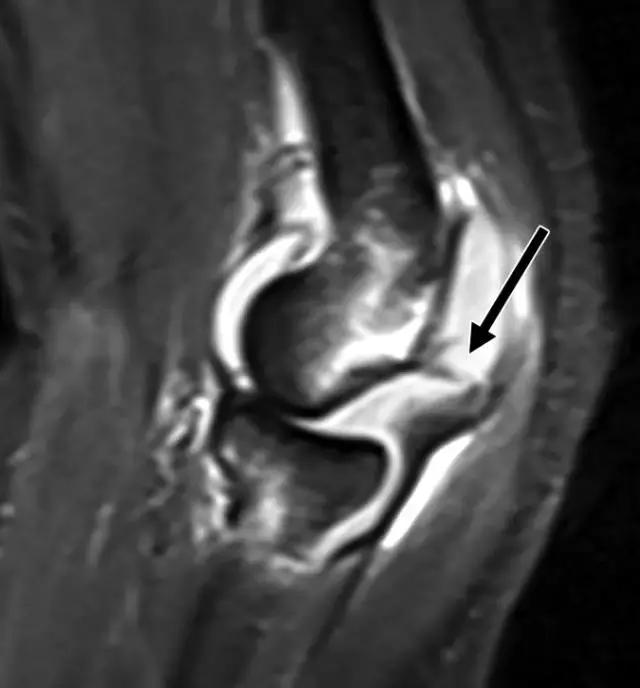
图4C,矢状面STIR MR图像显示后囊膜撕裂(箭头),桡骨头后半脱位,后肱骨和桡骨小头的腹侧经典挫伤。
胫骨平台前外侧撕脱骨折(Segond Fracture):
Segond骨折是近端外侧胫骨的皮质撕脱骨折。这种小骨折与前交叉韧带(ACL)的破裂高度相关,其存在被广泛接受以表明膝关节的主要内部紊乱和可能的前外侧旋转不稳定性。骨折是胫骨相对于股骨的过度内旋(导致ACL撕裂的最常见机制)与沿内侧闭合复合体的中心部分产生异常张力的内翻应力的结果。
尽管有所争议,但是研究结果表明,该片段与腓骨侧副韧带和股二头肌腱前臂产生的髂胫束和前斜带相关。
在放射照片上,Segond骨折显示为邻近近侧外侧胫骨平台的小骨片,并且在膝关节的前后放射照片上能很好的显示(图5A)。在MR图像上,由于相邻软组织中突出的异常信号强度,小的撕裂片段可能不像放射照片那样显着(图5B),但膝关节内更重要的损伤可以更好地显示。在75-100%的Segond骨折患者中发现ACL的撕裂,66-75%的病例中同时存在半月板损伤。

图5A -30岁的Segond骨折患者。A,膝关节前后位X线照片显示沿胫骨外侧平台的薄线状骨折片段(箭头)。

图5B骨折挫伤存在于股骨外侧髁上,前交叉韧带可以看到较低低信号,表明撕裂(箭头)。
内侧胫骨平台撕脱骨折(Reverse Segond Fracture):
反向Segond骨折,是内侧胫骨平台的撕脱骨折,它是后交叉韧带严重受损的标志。这种骨折中的放射学检查结果与经典Segond骨折相似,只是反向骨折涉及胫骨近端的内侧(图6A)。据认为是由于内侧副韧带的深部荚膜组分的撕脱引起的(图6B),并且经常与内侧副韧带的严重损伤和相邻内侧半月板的周边损伤有关。

图6A -18岁的女性患有反Segond骨折。膝盖倾斜放射照片显示沿内侧胫骨平台的小撕裂性骨折(箭头)。

图6B,冠状脂肪抑制T2加权MR图像显示内侧胫骨平台内有明显的骨髓水肿,与内侧副韧带深部囊膜组分相关的反向Segond撕脱性骨折(箭头)。
前交叉韧带撕裂(Anterior Cruciate Ligament Avulsion):
ACL的胫骨附件的撕脱在儿童中比在成人中更常见,据报道,在12岁以下的患者中,占ACL的80%。ACL外侧股骨髁的内侧,在胫骨前外侧的胫骨内侧和外侧之间的附近。在儿童中,骨骼通常比韧带弱,这可以说明这个人群的撕脱骨折发生率较高。在成人损伤研究中,沿胫骨隆起的这些骨折与41%的患者的内侧副韧带撕裂有关,18-23%的半月板撕裂,18%的PCL撕裂[40]。
X线照片可能在髁间隙中显示小的骨折片段,或胫前胫骨关节面内的微小透亮区(图7A)。CT可能有助于确定撕裂片段的大小和粉碎程度,如果足够大可以允许螺钉固定片段,并避免ACL的重建。术前MRI也可能有助于评估ACL的外观和识别任何相关的半月板或韧带损伤(图7B)。

图7A -40岁男性前交叉韧带(ACL)撕脱性骨折。膝关节侧位X线照片显示沿胫骨平台前方的微小曲线透亮带(箭头)。

图7B,矢状质子密度加权的MR图像证实ACL嵌入部位的(箭头)撕裂性骨折(箭头)。
后交叉韧带撕裂(Posterior Cruciate Ligament Avulsion):
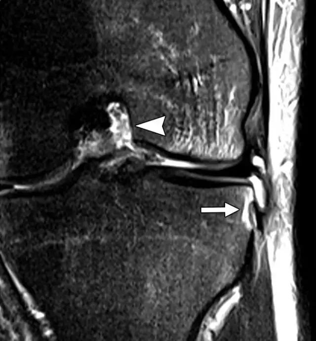
后十字韧带损伤在所有膝关节韧带损伤中占3%~20%。其中,30%是单独损伤,70%是合并其他韧带损伤。PCL损伤后不仅造成关节直向不稳,还可以导致膝关节旋转不稳。后十字韧带损伤后功能丧失程度,从几乎不影响生活方式到日常活动严重受限均可发生。 PCL起源于内侧股骨髁内缘,沿着胫骨平台的后方插入半月板的后根附件,略低于关节的水平。 放射照片可能会显示沿胫骨后部平台的骨碎片(图8A),但如果碎片未收缩到胫骨平台的高度以上,则这些可能不明显。 MRI可用于可视化PCL撕脱和相关损伤,如半月板撕裂和其他韧带损伤[37,43](图8B)。

图8A -17岁男孩,后交叉韧带(PCL)撕脱性骨折。A,膝关节侧位X线照片显示胫骨平台后方骨质碎片(箭头)。

图8B,矢状质子密度加权MR图像也显示PCL插入部位的撕裂性骨折(箭头)。
髌骨撕裂(Patellar Avulsion):
外侧髌骨脱位是一种常见的膝盖损伤,但在多达45-73%的病例中可能无法识别,并且如果没有得到适当的治疗,携带50%的复发风险[46-48]。 髌骨经常在脱位后立即重新定位,因此患者经常不知道其受伤的确切性质,身体检查由于疼痛和保护而具有挑战性。 射线照相结果通常是正常的,但是邻近髌骨中间边缘的小骨片的存在是损伤真实性质的重要线索(图9A)。 小片段表示在内侧髌韧带,所述髌内侧支持的一部分并抵靠髌骨的横向运动的初级韧带约束的髌骨附件的撕脱骨折。

图 9A -14岁的女孩患有髌骨撕脱性骨折。髌骨轴位片显示沿内侧髌骨的小骨碎片(箭头)。

图9B,轴向T2加权脂肪抑制的MR图像显示内侧髌股韧带在其髌骨附着位置在撕脱断裂部位(箭头)和沿内侧髌骨和外侧股骨髁(箭头)的骨髓水肿(挫伤)部分破裂,表明最近髌骨脱位。
当临床怀疑髌骨脱位时,推荐使用专用髌骨视野的膝盖放射线照片,例如轴位片。 Haas 等报道说,30%的内侧髌骨撕裂的碎片仅在专门的髌骨位置中被确认,否则将被遗漏。 一旦识别到撕裂性骨折,MRI是评估内侧髌股韧带状态以及任何相关损伤(如骨挫伤,骨软骨损伤和关节内松动体)的位置和程度的有价值的工具(图9B)。
拱形标志(Arcuate Sign):
弓形骨折是近端腓骨的小撕裂性骨折。 在前后X光照片上最佳可视化,弓形标志是指通常位于腓骨头附近的腓骨腓骨片段(图10A)。 断裂与弓形复合体的一种或多种组分的撕裂有关,其可以包括以下结构:股二头肌;侧副韧带;腘肌肉和腱; 腘腓骨和腘半月板韧带;和斜腘,弓形和腓肠豆腓侧韧带。 骨折不仅表现为外侧膝盖的临床重要的软组织损伤,而且通常与其他损伤有关。 在一项研究中,72%的弓形骨折患者也有ACL损伤,67%的患者出现PCL撕裂(图10B)。

图10A -26岁的女子与弓形标志。膝关节前后X线照片显示位移水平方向的腓骨头骨折(箭头)和外侧关节隔室的加宽。

图10B,冠状脂肪抑制的T2加权MR图像显示撕脱骨折(黑色箭头)和广泛的软组织水肿和外侧副韧带(箭头)和腘腱(白色箭头)的撕裂。
后外侧角损伤的临床诊断可能是具有挑战性的,因为身体检查中的发现通常是轻微的。 因此,成像在这些患者的治疗中起关键作用,因为在ACL或PCL重建时未能识别后外侧角部损伤,可能导致早期移植失败。
股骨颈应力性骨折(Femoral Neck Stress Fracture):
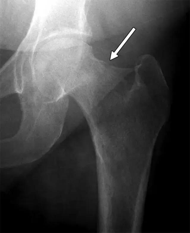
某些地点的应力断裂被认为是高风险,因为他们倾向于发展成移位骨折或延迟愈合或不愈合[54]。 在这些情况下,早期和准确的诊断是至关重要的,因为需要进行积极的治疗以避免这些严重的后果。 一个这样的高风险损伤是股骨颈外侧的应力性骨折。 由于其凸起的结构,外侧股骨颈受到分心拉伸力的作用,不仅倾向于通过将断裂边缘拉开而阻碍愈合,而且还大大增加了骨折位移的风险。
临床诊断可能是具有挑战性的,因为患者经常出现非特异性髋关节和腹股沟疼痛,因此成像通常在这些情况下起关键作用。 射线照片通常是不会发现的,特别是在有骨量减少的患者中,所以应该高度怀疑地看到沿股外侧的任何线性透视或硬化(图11)。 当临床怀疑近端股骨应激损伤时,应强烈考虑MRI,因为相关的骨髓水肿在脂肪抑制T2加权图像上显着,低信号强度骨折线也可能是明显的。

图11〜41岁女性患有糖尿病和外侧股骨颈应力骨折。 左髋前后X线片显示股骨颈侧向(拉伸)方面的局限性皮层破裂(箭头),MRI证实不完全骨折。
股骨干应力性骨折(Femoral Shaft Stress Fracture):
认为近端至中股骨轴(有时称为大腿夹板或内收肌插入撕脱综合征 thigh splints or adductor insertion avulsion syndrome)的应力损伤至少部分地与内骨骼沿着骨的内侧拉伸的肌肉相关。 运动员经常会看到这种伤害,特别是中长跑运动员,经常出现非特异性髋关节,腹股沟或大腿疼痛,这可能导致诊断延迟。 运动员可以将症状归因于肌肉劳损,并尝试忍痛运动,这可能导致粉碎性转子间骨折,有时发生在比赛中。
X光片可以揭示沿着股骨内侧轴上的骨膜反应,但研究结果往往正常(图12A)。 放射性核素骨扫描显示该区域的摄取增加,但MRI已成为评估该实体的首选研究[58]。 结果包括骨髓水肿和异常骨膜和皮层信号强度(图12B)。

图12A -14岁男子足球运动员,股骨应力骨折。右髋前后X线片显示沿内侧近端股骨轴的局灶性骨膜炎(箭头),仅在图像边缘部分可见。

图12B,冠状STIR MR图像显示广泛的骨膜反应,内皮和皮质内异常信号强度与发展中的应力骨折相适应。
前胫骨应力骨折(Anterior Tibial Stress Fracture):
前胫骨应力骨折进入高风险类别,因为沿着这个凸形表面的拉伸力趋于阻碍愈合,并使患者处于置换性骨折的风险,类似于股骨上端。 在六例胫前骨折应力延迟并发症患者的研究中,有五例骨折发生完全性骨折。 这些伤害最常影响参加重复跳跃或跳跃活动的运动员,如篮球,排球,体操和舞蹈。
放射学检查中在前胫骨皮层内的一个或多个横向线性区域的透亮区,但是这些可能是非常细小且难以辨别的(图13)。 CT可能显示早期骨皮质断裂,但MRI已被发现是检测和分级这些损伤的最佳研究。 这些骨折通常被保守地治疗,但可能需要放置髓内杆以帮助愈合并避免进展到移位性骨折。

图13-18岁女大学生篮球运动员,前胫骨应力骨折。 胫骨横断面显示前胫骨皮层横向骨折线(箭头)。 髓内杆最终被放置以协助愈合。
参考文献:
1. Macmahon PJ, Dheer S, Raikin SM, et al. MRI of injuries to the first interosseous cuneometatarsal (Lisfranc) ligament. Skeletal Radiol 2009; 38:255–260 [CrossRef] [Medline]
2. Nunley JA, Vertullo CJ. Classification, investigation, and management of midfoot sprains: Lisfranc injuries in the athlete. Am J Sports Med 2002; 30:871–878 [Medline]
3. Siddiqui NA, Galizia MS, Almusa E, Omar IM. Evaluation of the tarsometatarsal joint using conventional radiography, CT, and MR imaging. RadioGraphics 2014; 34:514–531 [CrossRef] [Medline]
4. Peicha G, Labovitz J, Seibert FJ, et al. The anatomy of the joint as a risk factor for Lisfranc dislocation and fracture-dislocation: an anatomical and radiological case control study. J Bone Joint Surg Br 2002; 84:981–985 [CrossRef] [Medline]
5. Castro M, Melao L, Canella C, et al. Lisfranc joint ligamentous complex: MRI with anatomic correlation in cadavers. AJR 2010; 195:[web]W447–W455 [Abstract]
6. Preidler KW, Wang YC, Brossmann J, Trudell D, Daenen B, Resnick D. Tarsometatarsal joint: anatomic details on MR images. Radiology 1996; 199:733–736 [CrossRef] [Medline]
7. Crim J. MR imaging evaluation of subtle Lisfranc injuries: the midfoot sprain. Magn Reson Imaging Clin N Am 2008; 16:19–27 [CrossRef] [Medline]
Read More: http://www.ajronline.org/doi/full/10.2214/AJR.15.14739?src=recsys