今天袁大夫分享一个病例,比较有意思,我们通过病例的就诊和检查经过,通过提问及回答,一步步分析,剥丝抽茧,最后得出正确诊断。希望对您有启发。

首先介绍一下病史:一位39岁男子在争吵后出现视力模糊。来医院急诊检查,医生开了CT平扫检查。

问题1:
以下补充的眼眶CT图像显示有哪一种异常?
A:眼球破裂
B:眼内出血
C:视网膜母细胞瘤相关肿块
D:异物
E:筛骨纸样板骨折

答案:BD
解释:
A:双侧眼球体是保持完整的。
B:右侧眼球外侧的高密度提示出血,这往往是眼外伤的直接征象。
C:没有钙化的眼内肿块不引起对视网膜母细胞瘤的考虑。视网膜母细胞瘤几乎全部是幼儿期的恶性肿瘤。
D:一个小的眼外异物位于右侧眼球的表面,它是患者角膜裂伤的一个潜在原因。
E:筛骨纸样板位于筛骨迷路(和眶内壁)的外侧面,而本例病人它是完整的。
问题2:
关于眼球前房以下哪些是正确的?
A:前房内充满粘弹性的透明凝胶。
B:前房是前段的主要腔室。
C:前房是虹膜和晶状体之间的一个小的潜在空间。
D:前房内充满眼房水,以提供营养和支持结构。
E:前房位于角膜和虹膜之间。

答案:BDE
解释:
A:玻璃体内充满粘弹性的透明凝胶。
B:前房是眼球前段的主要腔室。
C:后房是虹膜和晶状体之间的一个很小的潜在空间。
D:前房内充满眼房水。
E:前房位于角膜和虹膜之间。
以下哪项是眼眶外伤情况下MRI检查的局限性?
A:MRI对眼眶解剖的显示敏感性较低。
B:MRI对小骨碎片的检测是不敏感的。
C:在眶内有铁磁性异物的患者中,MRI通常是禁忌使用的。
D:在MRI图像上一些异物不易被识别出来。
E:MRI对眼内出血的评价是不充分的。

答案:BCD
解释:
A:MRI是描述眼眶解剖的最敏感方法。
B:CT对小骨碎片的显示比MRI更敏感。
C:在眶内有铁磁性异物的患者中,MRI通常是禁用的。
D:在MRI和CT图像上,玻璃和木头很难区分。
E:MRI在解释眼内出血及其病因方面,是一种非常有价值的工具。

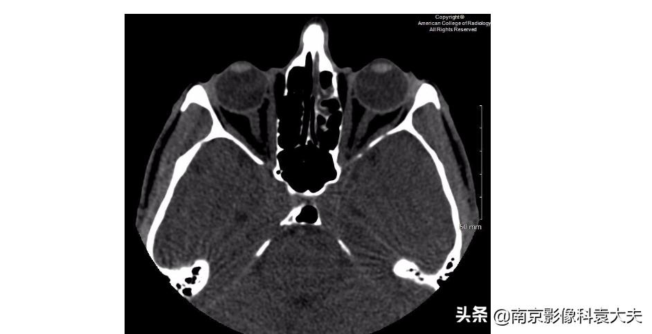
上图 在晶状体水平轴位非对比CT图像显示右眼前房(圆环)前后径减小,临床上可在角膜裂伤的情况下看到。

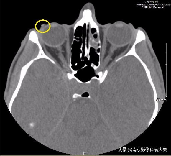
上图 眼球轴位非对比CT图像显示右侧眼睑外侧或巩膜表面可见点状异物(黄圈),发现巩膜上异物,我们应提高对角膜裂伤或其他眼球损伤的怀疑程度。

非对比增强CT(平扫)更低一层面显示沿右眼球外侧壁的高密度的眼内出血(箭头)。眼内出血可能是眼外伤的一

右眼矢状位非对比增强CT(平扫)显示前房(箭头)塌陷。这可以在角膜裂伤的情况下看到。
诊断:
角膜裂伤
病例要点:
眼眶外伤是角膜裂伤的常见原因之一,也是眼眶发病的重要原因。
体格检查在外伤后的环境下是受到限制的,但有意义的发现可以在影像学研究中确定。
角膜损伤常与穿透性创伤有关。
讨论:
眼外伤在多发伤患者中很常见,体格检查往往受到限制,在同时危及生命的损伤或面部软组织损伤程度可能导致眼睑紧闭而忽视了视力损害。
因此,放射科医生有责任识别与眼眶相关病变的影像表现,并提请临床医生注意。
穿透性创伤或裂伤可能损害前房,使虹膜脱出进入前房。在CT图像上,前房液体的体积减少导致前房的前后径缩小。
前部的隐形眼镜可以类似这种表现,临床上必须予以排除。对于角膜异物,应仔细检查相关的眼球穿透伤、球后血肿和面部/眶骨折。
相反,钝性眼眶损伤通常会导致眼球变形和晶状体向后部移位。

袁大夫定期更新病例,感谢关注评论!
#健康科普大赛# #搜索PLUS计划#