后撞击综合征
POSTERIOR IMPINGEMENT SYNDROME
By Zachary Berman
From 美国加州大学圣地亚哥分校放射学系



厦门中山骨科李映超医生:颈肩腰腿痛
相关解剖学
大多数后撞击综合征与距骨后方相关。距骨后外侧的继发骨化中心在8-13岁左右形成,随后在1年内融合。偶尔(约7%),可能与形成的距后三角骨不融合。此外,这个骨化中心可能仍然突出所谓的“Stieda's突(距骨后突)”(图11)。

图11。
(a) 上图显示距骨后突、距后三角骨(OT)和Stieda突的正常后突;(b)从踝关节后视图所示,显示后外侧踝关节的韧带解剖。PITFL,胫腓后下韧带;PTFL,距腓后韧带。




除距骨后外侧外,韧带解剖包括(从上到下):(1)距骨后下韧带,从外踝延伸至胫骨后外侧;(2)胫腓横韧带,从腓骨延伸至胫骨后、内踝;(3) 胫骨slip,也称为后踝间韧带,起源于胫骨后部,插入距腓后韧带;和(4)距骨后韧带从外踝延伸至距骨后外侧(图11)。
踝关节后撞击的病理生理学
临床上,后撞击综合征表现为踝关节后慢性疼痛和肿胀。典型的是,这种情况在导致足底极度跖屈的活动中出现,如芭蕾舞、足球、橄榄球和下坡跑。
后撞击的两种主要机制是:
(1)急性足底过度屈曲损伤和(2)慢性重复性微创伤。这两种机制的相似之处在于后部软组织,后者可能在距骨后和跟骨之间继发性肥大和压缩。骨体的存在(距后三角骨(OT)和Stieda突)会进一步缩小这个空间,这导致了它的另一个名称“距后三角骨综合征”(图12)。51这种增生的压迫导致区域肌腱和韧带的损伤。拇长屈肌腱鞘炎通常受累(图12)。重要的细分包括跟腱肌病/撕裂、关节病、急性距骨后突骨折、拇长屈肌腱鞘炎、Haglund综合征、骨软骨损伤和跟骨后滑囊炎。

图12。
后踝关节撞击的侧位矢状位图示:(a)足底弯曲的踝关节伴有相关的os三角,后软组织被卡压,包括距骨后韧带(PTFL)和相关的滑膜炎。(b) 由于两者关系密切,刺激和增厚的屈肌支持带可引起长屈肌肌腱刺激和腱鞘炎。






成像特性
常规射线照相术的初步评估可能表明外观正常,但应特别注意侧位片上是否存在Stieda突或os三角。由于这些也常见于无后撞击综合征症状的患者,不一定引起撞击综合征;但是,在适当的临床背景下,它们可能有助于症状的产生。
进一步的CT评估可以显示骨变体、额外的骨小体和骨软骨异常,并可用于术前处理。超声波引导可用于注射局部麻醉剂或皮质类固醇,这可能有助于后撞击综合征的诊断和缓解。
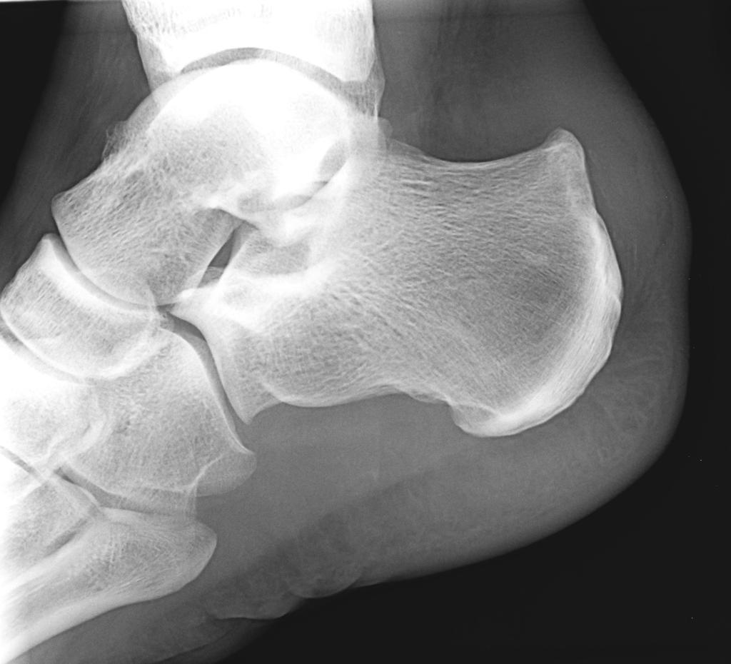
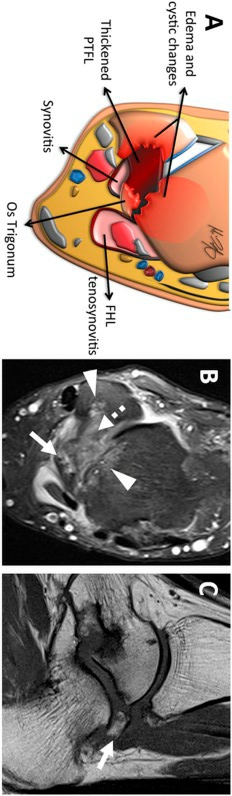
MRI具有优越的软组织对比度,在评价后踝关节疼痛方面起着非常重要的作用。一个主要特征是距骨、跟骨或os三角区的骨髓水肿(低T1和高T2信号)(图13)。其他特征包括软骨结合处信号增强、相关滑膜炎和后韧带增厚(图14),以及后距下神经节或胫距神经节存在的可能性。

图13。
一位47岁男性,患有慢性踝关节疼痛,在足底屈曲过程中恶化,与后部撞击一致:(A)轴位图,(b) 轴位液敏图像和(c)矢状位T1加权像显示os三角(箭头)退化,距骨后韧带(PTFL)增厚(虚线箭头),距骨和腓骨水肿/囊性改变(箭头)。

图14。
后撞击:(a)从后视看,后路韧带增厚和退化。一位40岁男性足底屈曲疼痛,(b)冠状位和(c)矢状位液敏图像显示胫腓骨后下韧带(箭头)、踝关节间韧带(虚线箭头)和距腓后韧带(箭头),与临床诊断一致。
踝关节后撞击综合征的治疗
与其他撞击综合征一样,一线治疗是保守措施。如果这些措施失败,则手术仍是可行的选择(图15)。最近的一项荟萃分析比较开放式和关节镜下治疗没有发现病人满意度的变化。然而,值得注意的是,接受关节镜治疗的患者并发症较少(15.9%对7.3%),尤其是主要并发症较少(13.8%对5.4%)。大多数患者平均在8周或16周内通过关节镜和开放手术技术恢复到完全活动状态。

图15。
一位25岁的专业曲棍球运动员有后撞击:(A)术前侧位片显示三角肌(白色箭头)合并软骨退化(箭头)。(b) 软组织清创后的关节镜图像显示暴露的os三角(黑色箭头),内侧可见拇长屈肌腱(FHL)(黑色虚线箭头)。(c) 关节镜下切除os三角后的影像,FHL在内侧可见(黑色虚线箭头)。(d) 术后的侧位片证实手术成功。
中山骨科 止于至善
大道至简 天人合一