
导语
呼吸支持对患者通气功能一定能起到改善作用吗?
作者:张建朝 郑州大学第一附属医院
急性呼吸窘迫综合征是全身炎症反应导致的肺损伤,临床表现为呼吸窘迫和难以纠正的低氧血症,治疗棘手,死亡率也极高。呼吸支持是治疗急性呼吸窘迫综合征的核心手段。但呼吸支持对患者通气功能一定能起到改善作用吗?我带您走进下面这个病例,原来给予呼吸支持也能导致通气功能恶化。
诊疗经过:
患者男性, 59岁, 咳嗽、浓痰、发热及渐进性呼吸困难7天。使用左氧氟沙星 (500 mg/d) 连续治疗6天, 症状未改善。既往有高血压、2型糖尿病等病史, 有吸烟史(50包/年)。
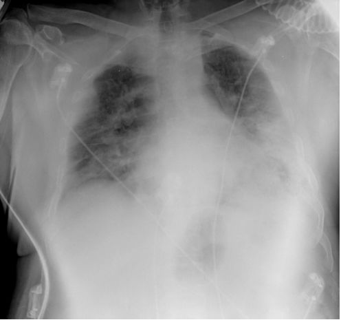
急诊部检查:患者有肋间凹陷、呼吸机过度使用等呼吸窘迫综合征表现;呼吸频率为34 次/分,给予面罩吸氧前氧饱和度为72%, 面罩吸氧(10 L/min)后达到96%;血压为111/72 mm Hg, 心率为91 次/分, 体温为36.8 ℃;无下肢水肿、颈静脉扩张, 心脏听诊无异常;肺部听诊示:双肺满布哮鸣音,胸部左下区闻及细湿罗音。实验室检查示:白细胞计数为6,290/mm3(9%肥大细胞和1%晚幼粒细胞), 血红蛋白为16.1 g/dL,血小板计数为94,000/mm3, CRP为192 mg/L。胸片提示:双侧肺间质浸润影,左肺下叶可见实变影(见图1)。
急诊入院后, 静脉注射哌拉西林-他唑巴坦(4.5 g/6小时)以及阿奇霉素(500 mg/d) , 并给予吸氧治疗。诊断急性呼吸窘迫综合征后转入ICU,给予气管插管及机械性通气,以保持呼吸道通畅及改善通气。
转入ICU 第2天,氧合指数(PaO2 /FIO2 ratio)达到155。给予呼吸机辅助通气(FIO2为70%)后,呼气末压力为10 cm H2O,潮气量为400 mL,预设呼吸频率为16次/分。气道平台压力达到29 cm H2O, 峰值压力达到35 cm H2O。在呼吸机辅助下,患者有效呼吸频率达到24 次/分, 没有再次出现呼吸窘迫综合征的表现。并实施胸部超声检查患者肺实质通气情况发现患者双肺存在异常呼吸模式。
在接下的几天里, 通气参数保持不变。ICU 第3天, 患者氧合指数降到89;给予神经肌肉阻滞,并且嘱其俯卧位呼吸,复查胸部超声提示患者肺通气异常模式得到轻微改善。但2天后,患者出现肾衰;并在ICU第6天死于多器官功能衰竭。
肺部超声结果:
ICU第2天超声结果
呼吸周期中,于右肺前上及前下区发现存在反常肺通气模式。吸气时有多个融合的B线存在,这是白肺的征象;而呼气时B线消失,肺通气状况出现异常的改善。同时,在吸气周期时,患者肺通气出现反常的恶化现象。然而在大部分重力依赖区并未出现如上反常变化。右肺重力依赖区通气没有特殊变化,左肺重力依赖区在吸气时通气状况得到明显改善。在整个呼吸周期中,左肺前上区及下半区没有异常通气模式。呼气时外周胸膜下可见一个小实变影并可见白肺特有的多条B线存在;吸气时这些征象持续存在,没有显著改变。在左前区有保护性通气,没有过度充气或呼气的超声征象。
ICU第3天超声结果
整个呼吸周期中,右上后区(非重力依赖区)肺通气状态得到轻微改善;吸气相时肺通气状态明显改善,B线数目显著减少;呼气相时可见多条融合B线存在,表现为白肺征象。
通气支持对这位患者的有效吗?
没有!!!在呼吸支持治疗时中, 患者的肺非重力依赖区的通气状况并未获得改善,反而出现了恶化表现;通过使用神经阻滞药物及俯卧位呼吸,患者异常通气模式有所改善。这表明患者出现了“摆动呼吸”现象,即肺内气体从原先非重力依赖区转移至肺重力依赖区,并造成肺重力依赖区肺泡的过度膨胀。因此,给予呼吸支持治疗(即时在潮气量≤6 mL/kg) 有可能对肺重力依赖区造成损害。
为什么会出现“摆动现象”?
在正常肺时, 膈肌收缩会在肺组织表面形成一个平坦均匀的胸膜内压, 牵引肺部扩张。然而,当患者有呼吸窘迫综合征时,胸膜内压强度在肺部不同区域分布不同, 胸膜内压在肺重力依赖区相对更强, 在非重力依赖区相对较弱。因此就造成了肺非重力依赖区通气不足, 而重力依赖区通气过度; 气体从非重力依赖区转移至重力依赖区过, 形成了“摆动现象”。当增加潮气量时, 即使在适宜水平, 也会造成患者出现重力依赖区的过度膨胀甚至造成损伤。
启示
就此病例表明肺部超声不仅是实时监测肺通气状况的最佳工具,而且在评价通气支持疗法效果方面具有重要作用。即使通气参数在正常范围时,不适当的通气支持治疗仍然会对肺脏造成损伤, 因此对肺脏通气状况进行实时评估是非常有必要的。

图1 正位胸片显示双侧肺间质浸润影, 左肺下叶可见实变影
拓展(知识点来啦!!)
肺部超声在急危重症治疗中如此重要, 那我们简要谈谈肺部超声一些常见征象。
正常征象
1.胸膜线和蝙蝠征
应用超声探头垂直胸膜,探头长轴与锁骨中线或腋中线平行,与肋骨长轴相垂直,肋骨表现为平滑曲线状强回声,后方伴有明显声影。在肋骨下方约0.5 cm 深处(紧贴肋骨深面)即可发现呈高回声,随呼吸往复运动,此即胸膜线。上下相邻肋骨、肋骨声影、胸膜线的声像图共同构成了一个特征性超声表现——蝙蝠征。
2.胸膜滑动征与沙滩征
超声实时扫查时, 含气肺表面的线状强回声随呼吸运动产生相对肋骨的上下滑动表现称为肺滑动征;利用 M 型超声观察, 固定不动的胸壁各层结构, 随时间勾画出静止的平行线, 其深方脏层胸膜随呼吸运动产生沙粒样图像, 类似海边的沙滩, 是静态图像中肺滑动征的表现形式。
3.A 线
脏层胸膜深方的正常含气肺组织对超声波产生强反射, 形成线状强回声,即胸膜线。声波被反射回探头后, 在探头表面和含气肺表面之间多次往返,形成多重反射伪像,每一次往返到达肺表面时形成的线状强回声, 在超声成像时显示在图像的深方,形成与真正胸膜线平行的一系列线状高回声,彼此间距相等(间距为探头表面与含气肺表面之间的距离),这些线状强回声称为 A 线。
异常征象
1.B 线或彗星尾征
超声波遇到肺泡气- 液界面时反射形成的伪像,微量液体的存在使声波能够部分传播进胸膜下,该处的气- 液界面声阻抗差异明显,气- 液局部形成振铃效应,声波被多次反射且放大,形成彗星尾征。B 线的特点是起于胸膜线并与之垂直、呈放射状延伸至图像深方而不发生明显衰减的短线样高回声,随呼吸往复运动。
2.类组织征和碎片征
各种原因肺实变时,含气肺组织被实变组织代替,超声波能够传播并成像。当实变范围较大,如累及某一肺叶,形成类似肝实质样的软组织声像图,称为类组织征,如实变范围较小,与周围含气肺组织的边界不规则,主要以深方边界为主,表现为不规则的碎片状强回声,称为碎片征。
3.支气管充气征
实变的肺组织内出现的点状或线状强回声,称为支气管充气征,根据其是否具有动态变化可进一步分为动态和静态支气管充气征。其中,动态支气管充气征的存在提示局部支气管内的气体与大气道相通,可随呼吸运动进出实变区,是鉴别肺实变和阻塞性肺不张的重要征象。

图a:蝙蝠征;图b:A 线;图c:沙滩征;图d:B线;图e:类组织征;图f:少量胸腔积液;图g:支气管充气征;图h:平流层征;图i:B7线,B 线间距约7 mm。
参考文献
[1]Staub LJ, Mazzali BRR, Velho GV, Reis C, Maurici R. A 59-Year-Old Man With ARDS Receiving "Protective" Ventilation. Chest. 2018. 153(4): e67-e70.
[2]刘畅, 崔立刚. 肺部超声在危重症中的临床应用. 中华诊断学电子杂志. 2017. 5(03): 145-148.