经常有患友咨询“大夫,我的脚后跟长骨刺了!一走路就疼,怎么办?能不能去了它?”
今天咱们就来简单聊聊这个话题。
骨刺怎么来的?
我们的脚不是一块平板,它在前后方向有弧形的足弓结构,其中脚的骨头构成了弓的框架,而脚底的肌肉韧带则构成了弓弦。

足弓的构造使得我们在行走以及跑跳的过程中能承受更大的冲击,并且通过适度的变形能很好地吸收震荡和缓冲,进而保护上方包括膝、髋以及脊柱的关节。如果弓本身弧度不好(扁平足),或者用得时间长了(退变),或者用得太狠了(劳累),或者多个因素作用在一起就容易出问题。
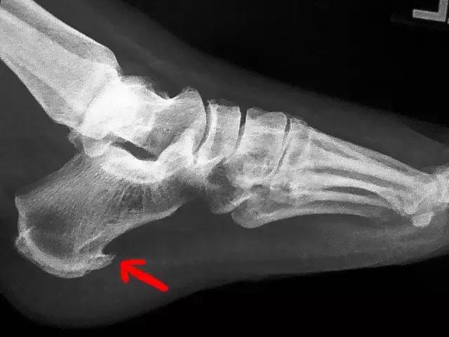
尤其是弓和弦的连接处——脚后跟,最容易出问题。这个地方反复受到刺激和损伤,导致了在应力(弦)的方向骨刺的形成,所以我们仔细观察X光片会发现,骨刺方向是水平而不是垂直向下的。

骨刺能去掉吗?
有些药物,不管它的名字叫“骨刺灵”还是“骨刺消”,也不管它是狗皮膏药还是神仙水,都不可能把骨刺去掉。试想一下,如果这些药物能把骨刺消掉,那岂不是把脚后跟的骨头也一起消掉了。同样手术也不适用,如果骨刺(弓弦连接处)被去掉了,岂不是弓弦就彻底散架了?那可就真麻烦了!
疼痛怎么办?
有许多人走路跑跳活动没有任何问题,但照个脚后跟的X光片一样有骨刺。这说明疼痛不是骨刺扎到肉里引起的,实际上水平骨刺也扎不到肉里。但受伤的弓弦结构在外力作用下必然会有炎症反应,真正引起疼痛的是炎症反应。虽然骨刺去不掉,但是减轻甚至消除炎症反应医生还是有不少办法的。具体分为以下几个方面:
1)减轻局部刺激,包括少走路,避免拿重东西;
2)改穿宽松的软底鞋,最好是带气垫的运动鞋,如果有必要还可以定做医用的矫形鞋垫,也可以帮助减轻症状;
3)促进局部血液循环,包括坚持热水泡脚、局部抹药膏和贴膏药;
4)口服消炎止痛药物。
相信经过上述治疗,虽然您的脚上可能有骨刺,也一样可以健步如飞!
作者简介


责任编辑:康爽
图片来源:网络
联系邮箱:[email protected]
本文首发于微信公众号“东单九号院”
原创作品,未经授权,谢绝转载!