婴幼儿宝宝突然出现一阵阵的哭闹,有时甚至还伴有呕吐,可是他们还不会说话,不懂表达,这可急坏了父母亲。我今天就来科普一下这个婴幼儿非常常见的急腹症:肠套叠。

什么是肠套叠?
顾名思义,肠套叠就是部分肠管及其肠系膜套入了相邻的肠管后所致的一种疾病,呈肠梗阻表现,长时间不解除套叠状态,可能引起肠管坏死。

肠套叠有什么特点?
1、肠套叠好发于1岁以内,占60%,2岁以内占80%,新生儿罕见。是3个月至6岁期间最常见的肠梗阻的原因。
2、肠套叠肥胖儿多见、男性多见、春秋季多见,在胃肠炎、中耳炎及其他感染后多见。
肠套叠有什么症状?
典型的肠套叠症状为:阵发性腹痛(哭闹)、呕吐、血便及腹部包块。具备这4项可以立即确诊为肠套叠。但是临床上常常不会有那么典型的肠套叠表现。比如有的患者仅仅表现为阵发性哭闹,或呕吐,并没有血便及腹部包块,可能会被误诊为胃肠炎等。即使有的宝宝有血便也可能会被误诊为细菌性痢疾。

所以,更深刻地理解肠套叠显得尤为重要。肠套叠的这4个典型症状也有它自己的特点,我们来分析一下:
- 阵发性腹痛(哭闹):平素健康的宝宝突然出现的腹痛,经常是蜷缩着身体,面色苍白,拒绝饮食,出汗不止,持续数分钟或更长时间后,腹痛可以缓解并安静入睡。但是过了10~20分钟后又会反复发作。不会表达腹痛的宝宝就是以哭闹为表现。
- 呕吐:早期呕吐的一般是食物,包括乳汁、乳块及食物残渣等,之后可以吐出胆汁,最后还可以吐出粪便样液体。
- 血便:为重要症状,典型的表现为“果酱样”粘液血便,约85%的病人发生在发病后6~12个小时后。
- 腹部包块:大多数肠套叠宝宝可在右上腹摸到“腊肠样”肿块,光滑不太软,稍可移动。
怀疑肠套叠应该怎么办?

当怀疑有以上典型的肠套叠症状时,哪怕仅有一项,必须立即送至医院。医生在怀疑有肠套叠时,会进行如下检查:
- 肛门指检:刚才介绍过,患者可能有血便,在血便没有排出时,肉眼观察不到,肛门指检可以提前查出血便。
- 腹部X线:对完全性肠梗阻敏感性高,但是肠套叠有时表现为不完全性肠梗阻,因此,腹部X线诊断肠套叠的成功率仅为20%左右。
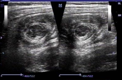
- B超检查:B超是检查肠套叠的最佳办法!相关文献报道,有经验的B超医生对肠套叠的诊断率可以达到100%。

诊断肠套叠应该怎么治疗?
肠套叠是危及生命的急诊,一旦确诊,必须立即复位。复位方法包括灌肠复位及手术复位。一般48小时内的肠套叠并未出现肠管坏死或穿孔,可以进行灌肠复位,而超过48小时的肠套叠很可能出现了肠管坏死或穿孔,需要进行手术复位并进行肠管切除吻合等相应治疗。

经典的灌肠方式为在X线下用空气或钡剂灌肠,通过灌肠时反向的作用力,让套叠的肠管复位。但是,由于X线下灌肠耗时长,会致医生、家长及宝宝遭受大量的辐射,因此越来越不被大家所接受。王医生推荐B超下水压灌肠,无辐射,准确率高,值得推广。
总结:
孩子突然出现的腹痛或者哭闹要当心,根据症状如果怀疑肠套叠需要立即送至医院。B超是诊断肠套叠的最佳办法,医生在明确诊断后也会立即进行灌肠复位。如果超过48小时可能就要手术治疗。早发现、早诊断、早治疗,切不可麻痹大意,你明白了吗?
#清风计划#