1、颅骨骨折

额骨骨折:左侧额窦内外侧壁骨折;

左侧颞骨骨折。
2、硬膜外血肿

硬膜外血肿、颅内积气(提示骨折)

硬膜外血肿(凸透镜样;可有或无颅骨骨折)。
3、硬膜下血肿

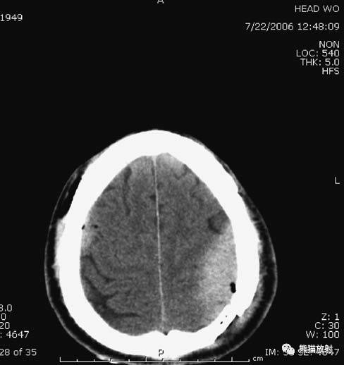
右侧硬膜下血肿(急性-高密度,慢性-低密度);右侧大脑水肿,中线结构移位。

(小脑幕下)硬膜下血肿

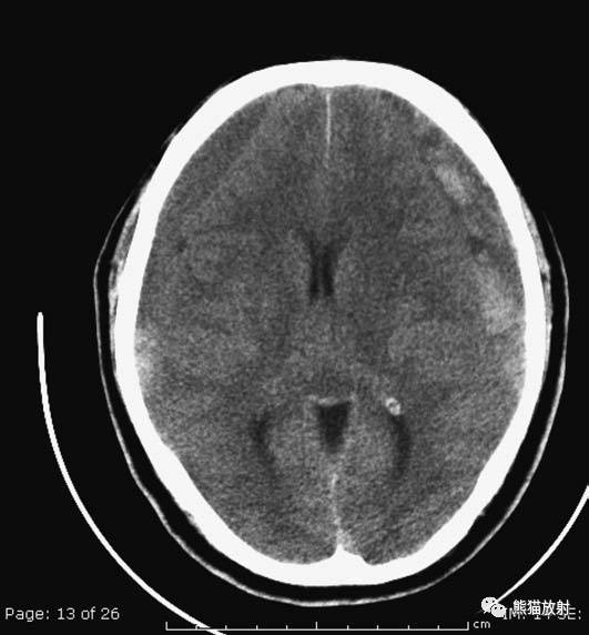
(大脑镰左侧)硬膜下血肿:可见轻度占位效应。

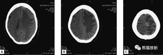
左侧硬膜下血肿:呈等密度,有占位效应,中线结构移位。

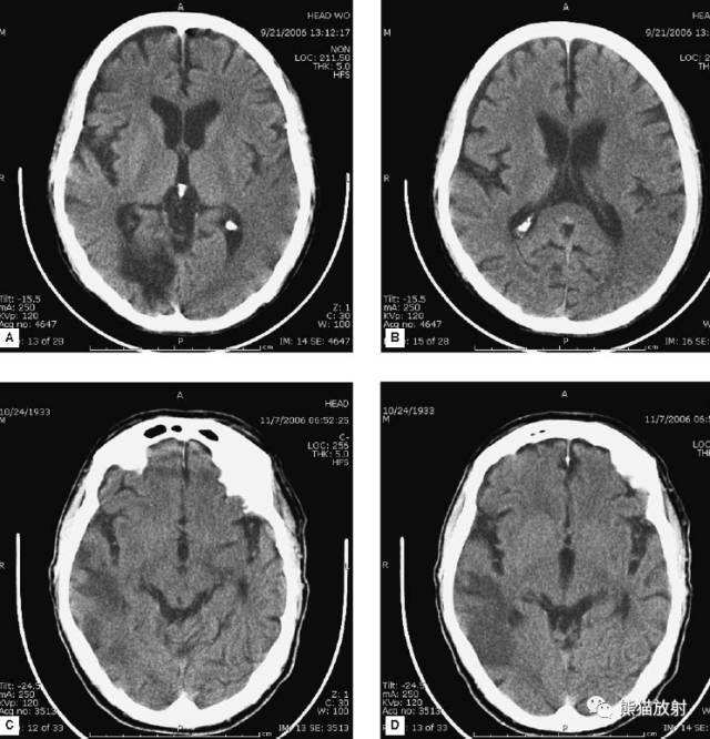
双侧亚急性硬膜下血肿:左侧可见急性出血,双侧占位效应平衡,中线结构无移位。

双侧等密度硬膜下血肿
4、蛛网膜下腔出血

外伤性蛛网膜下腔出血:脑沟、脑池内可见高密度影。

额叶及颞叶脑挫伤:脑出血并周围水肿,可随时间扩大,导致占位效应及脑疝。由于受周围骨质影响,脑基底部挫伤容易遗漏。

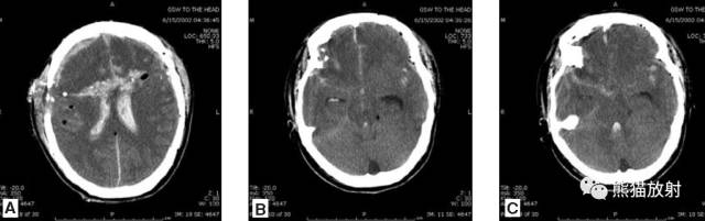
头部枪伤:可见*弹子**轨迹,穿越大脑中线,其毁灭性后果导致:侧脑室积血,蛛网膜下腔出血,脑积水(侧脑室颞角扩大),小脑幕疝(脑干周围基底池消失或不对称)。

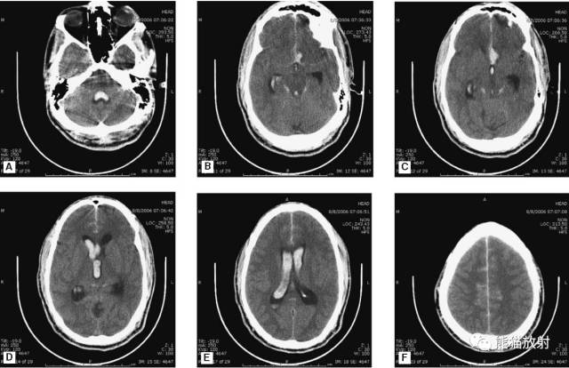
动脉瘤破裂导致蛛网膜下腔出血、脑室积血、非交通性脑积水。
与外伤性蛛网膜下腔出血不同,动脉瘤破裂导致的SAH常不累及大脑凸面,而位于基底池附近。脑动脉瘤常位于鞍上池的Willis环血管。
A:四脑室积血;B:中脑导水管、环池、右侧侧脑室颞角积血,前交通动脉处(动脉瘤好发位置)出血密度较高;C:三脑室积血;D-F:侧脑室积血,蛛网膜下腔出血(血液代替了脑脊液)。
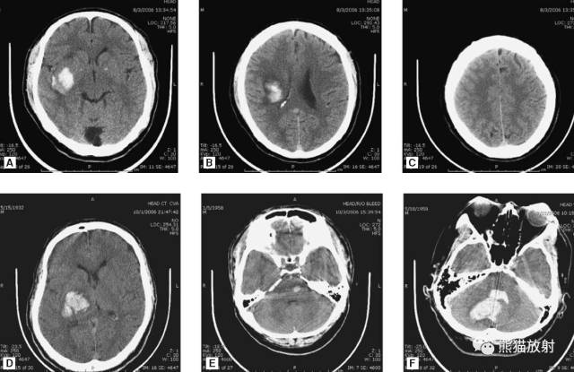
5、高血压性脑出血

高血压性脑出血:
- 自发性出血;
- 继发于长期高血压及慢性血管病;
- 常见于基底节区、丘脑、脑桥、小脑。
A:占位效应,相邻脑沟、脑池消失;F:脑出血破入四脑室。

钩回疝:是当代偿机制不能适应占位性病变时的结果。
基底节区大量高血压性脑出血,破入脑室及蛛网膜下腔,周围水肿,脑干周围空间消失;脑干出血、脑积水。
6、脑梗死

缺血性脑卒中。早期:脑水肿,灰白质分界模糊,脑沟消失;中期:病变区域密度减低;晚期:脑实质体积缩小。
A:陈旧性脑梗死,右枕叶体积缩小;
B:左枕叶急性脑梗死,灰白质分界模糊,脑沟消失;
另一患者:
C、D:亚急性期脑梗死,低密度,无明显占位效应。

左侧大脑中动脉供血区脑梗死(亚急性期):低密度,轻度水肿。
缺血性脑卒中发作2-4天时,占位效应最明显。
7、脑积水

脑积水,并脑室分流。
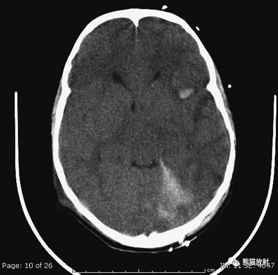
8、占位性病变

急诊患者的症状大多由于病变的占位效应所引起。能引起脑水肿及占位效应的病变有:原发肿瘤或转移瘤,血管畸形,炎性病变(弓形虫、脑脓肿)。
本例:肿瘤密度较高,邻近大脑镰,周围可见大片低密度水肿区。