近日,我院龙湾院区功能科成功完成一例超声引导下的甲状腺囊肿硬化治疗,术后治疗效果明显。
年逾80的患者李先生体检发现甲状腺左叶囊肿多年,由于不想手术加之并没有十分在意,便一直拖延至今。近来囊肿逐渐增大,脖子上鼓起了一个大包,不仅影响美观,而且对呼吸道及食管产生压迫,出现呼吸、吞咽困难等症状,到了不得不治疗的境地。
机缘巧合下李先生听说我院龙湾院区功能科有微创治疗的方法,不用开刀,一根针解决问题,皮肤不遗留疤痕,而且不会损伤甲状腺功能,所以就慕名而来。

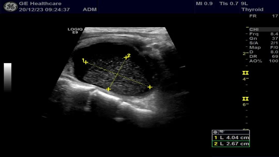
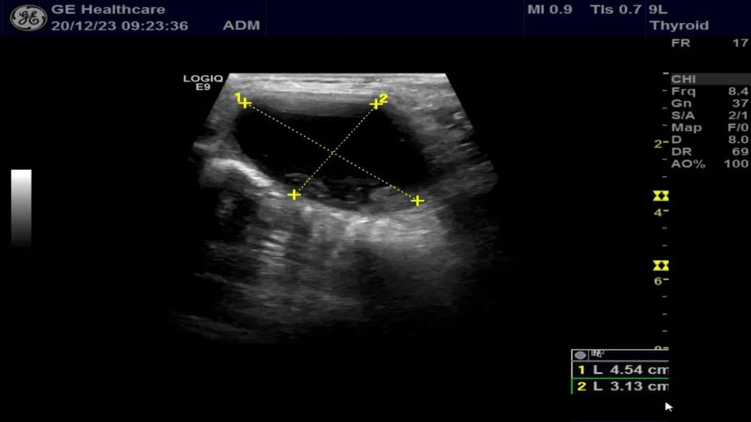
李先生经常规超声检查发现,甲状腺左叶可见两个囊性回声,大小分别约4.5×3.1cm和5.3×3.6cm,内见点絮样中等回声。为进一步确认囊性包块内是否有实性成分,医生为李先生做了遂行超声造影检查,发现均无造影剂填充,其内絮样回声考虑为囊肿内积血。


功能科主任李红梅详细评估了患者病情,建议患者行超声引导下甲状腺囊肿穿刺抽液硬化治疗。征得患者同意,经局部麻醉后,医生在超声引导下准确将穿刺针刺入囊肿内,抽出陈旧性积血,进行了硬化剂冲洗治疗。

术后效果立竿见影,李先生颈部的包块消失了,手术只在颈部留下一个针眼,几乎不可见。困扰李先生多年的病痛一招解决,令他非常满意,术后他只需要按要求定期复诊即可。

图/文:龙湾院区功能科 李红梅