
胸腔镜直视下告诉你!
作者|云南省一院孙丹雄
来源|医学界呼吸频道
明明可以靠脸吃饭,而我却选择努力工作,这就是我和明明的区别!
大家有没有这样的尴尬,明明来住院,明明有中到大量胸水,为什么抽不到?明明有问题,还是我们医生有问题?
当然,明明肯定有问题!对于这个问题,我们医生也可能有问题!我今天就来聊聊这个问题!
第一章 明明的问题:蜘蛛网胸水
蜘蛛网胸水,也叫蜂窝状胸水,我发明的词汇,专业场合请用“包裹性胸水”!要不然查病历的把你这个月那点可怜的毛工资扣得连毛都没有!
蜘蛛网胸水(包裹性胸腔积液),在胸腔镜下是什么鬼样子的呢?

一大包胸水,看着是不是很好抽?Ease,轻松搞定!
来来来,实习的小孩,老师带你去抽胸水,如果顺利10分钟搞定收工!
一针下去,没水!再往里面进针,没水!汗淌!
肿么办?差不多就退针!要不然,一直进针,病人就可能很疑惑的问医生:医生,你在我的后背抽胸水,怎么针尖在我前胸冒出来了?是不是哪里不对啊!我现在很困惑啊!
为什么会酱紫?明明有胸水啊!明明确实有胸水,只不过......
且看胸腔镜:

胸腔里面这么多分隔,你能保证你的针在哪个小分隔里面?除非你有孙悟空的火眼金睛!
下面这种胸水,看着也挺多,但是,也是反重力的存在:貌似水往低处流!

在胸腔镜下,是“蜘蛛网+蜂窝状”般的变态存在。

你说说,这种情况怎么愉快的抽胸水?
看看你的胸腔积液和人家的胸腔积液,你的引流管和别人的引流管!

肿么办?
首先,最好在床旁B超引导下抽胸水,测量胸水的深度。假如皮肤厚2cm,胸水6cm,那么进针深度一般3cm~5cm,一般不能超过7cm。避免盲目进针,引起气胸!胸水少的时候,不建议在B超室定位,病人回病房后,体位变动,皮肤移动,定位点很可能不再是原来的定位点!
其次,多部位穿刺抽液。之前遇到一个病人,也是中等量到大量胸腔积液,第一次抽胸水,麻药针进满了,一滴胸水都不流出来。后来我和进修医生、实习医生再次去抽胸水。床旁B超示中等量胸腔积液,胸水深度约5cm。进修医生按照我定的点进针,也是一滴胸水都不流出来。我晕倒,看来包裹太严重了。后来我亲自上阵,换了一个部位,麻药针进满了,胸水终于流出来。有时候可能刚好进到蜂窝里面,换一个穿刺点,可能进到另一个大一点的腔,胸水就可能哗哗的流出来。
最后,没有床旁超声怎么办?送病人去B超室,亲自看看B超,哪几个肋间隙水最多,就可以放心的多部位穿刺,一般都可以抽到胸水。实在抽不到,不要强行抽水,并发血胸、气胸等等有时候很麻烦。
大招:胸腔镜下,用活检钳,把分隔剪断,放粗管。当然,有可能:剪不断,理还乱。
对于包裹性积液,胸腔积液粘稠或分隔形成,B超下的表现,如下图:

第二章 经验的问题:消失的胸水
会诊电话:呼吸内科吗?我们有患者要抽胸水。
呼吸内科:什么时候照的胸片提示胸水!
会诊电话:上个星期!
呼吸内科:重新照胸片,仍然有胸水再说。
有一次我给一个其他科的患者抽胸水,行左侧胸腔闭式引流。2天后,引流管不慎脱落。该科的一个老师去抽右侧的胸水(之前的胸片提示中等量胸腔积液),一滴胸水都没有抽到,汗淌问我:孙医生,怎么我没有抽到胸水,我都开始怀疑人生了!太奇怪了。
我说:不奇怪,复查胸片,可能没有胸腔积液了,抽到胸水才奇怪!
后来复查胸片,极少量胸腔积液!
为什么?每个人不一样!有些患者的胸腔积液,特别是心力衰竭引起的胸腔积液,有可能几天就吸收了,一不小心,就“干抽”了。病因可逆的胸水,都要谨慎,要参考最近1~2天的资料。
有人说:查体啊!NO,有些患者的胸水,虽然是中等量,但是呼吸音清清楚楚的,查体不一定可靠,虽然查体很重要。
下面的图示,可以帮助大家加深印象!

另外,胸水的病因有时候很难准确判断,最初觉得可能不是心力衰竭引起的,但经验性治疗后,胸水有可能很快减少,这时候贸然按照之前的影像学资料去抽胸水,有可能“干抽”。
各种病因可逆的胸水,都要谨慎,不要贸然按照之前的影像学资料去抽胸水。
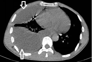
第三章 警惕消失的“癌性胸水”
下面这个患者,纵膈淋巴结肿大、融合,心包积液,胸腔积液,一看就是晚期肺癌。后来,纤支镜也确实查到癌细胞。

这个胸水,不好抽,但也不难抽。癌性胸水,不抗癌治疗,不引流,一般不会自行吸收。我带同学去抽胸水,为了安全起见,我事先还是用B超探查了一下胸水,我瞬间就懵了:居然只有极少量的胸水。
难道是我的B超技术有问题?没道理啊,胸水B超so easy啊!
难道是胸水少了?也没道理啊,癌性胸水怎么会无缘无故消失?
撞鬼了?
复查CT,“癌性胸水”果然无缘无故减少了。

肺癌合并单侧胸水,甚至晚期肺癌合并单侧胸水,不一定是癌性胸水!
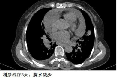
这个患者的胸水,应该是心包积液导致静脉回流受阻,体循环淤血引起的。利尿治疗后,胸水减少。
就算是可疑癌性胸水,也要谨慎,之前的影像学检查,要慎重对待!一不小心,就干抽了。
第四章 胸水的靠山
有靠山,不好惹,肩胛骨罩着的胸水,抽不到很正常!

总结:
为什么抽不到胸水?
因为胸水分隔了!
因为胸水消失了!
注意:之前的胸水不一定都是痴情人!
Wherever you go
无论你去到何方
Whatever you do
无论你在做何事
I will be right here waiting here waiting for you
我都将在这里等你
实际是:你还在痴痴等待,胸水早就跑路了,就像江南皮革厂倒闭了!
作者往期精彩文章