直肠尿道瘘:
为直肠与尿道有一管道相通,尿中可带大便,尿液也可经肛门排出。

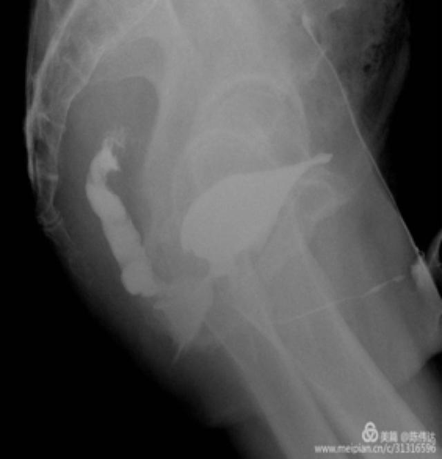
膀胱造影图(我亲自管的病人)
病因分为:先天性与继发性。
- 先天性原因:多为发育畸形,小儿多为先天性,男孩为多。
2014年遇到一个男病人,因为直肠尿道瘘导致不孕,手术后很快妻子就怀孕了。

2. 继发性原因:

诊断
膀胱镜、直肠镜、尿道逆行造影、膀胱造影、CT、核磁等。一般诊断不难,难在治疗!
治疗
治疗方法以手术为主,文献报道成功率在60%~80%之间。
自体股薄肌修补直肠尿道瘘。

股薄肌位置(颜色突出显示的是股薄肌)
一、手术怎么做?
一期手术:回肠造口+膀胱造瘘
二期手术:股薄肌转移修补瘘口
三期手术:回肠造口还纳+拔除膀胱造瘘
二、手术效果怎么样?
总体治愈率在85以上。
总结:
直肠尿道瘘治疗难度大,周期长,少则半年,多则2-3年,耗费精力,财力,甚至有的病人坚持不住放弃治疗。只要选择合适的方法,总体治愈率相对较高。
