
本 期 导 读 :
心诚学院由华医心诚医生集团开办,并设立“才俊讲堂”栏目,邀请行业心血管青年才俊讲授相关课程。
本期继续分享“十大基本功”系列课程第二讲《哪些超声心动图表现不具备临床意义》的第三节《需警惕的解剖结构(二)》。
视频加载中...
华医心诚医生集团孔令秋2.3:需警惕的解剖结构(二)
本节课同步字幕:
四、右心房终末嵴
右心房终末嵴,又称为右心房界嵴。界嵴,英文为Crista Terminalis(CT)。
从右心房顶部向右心房下壁延伸,跨过下腔静脉口,逐渐走行,像山脉一样把心房隔开。此时从四腔心切面观察,可见心房水平面。

切开后,界嵴的横断面显示在心房顶部,见右图。
★★ 需要警惕的是,该横断面容易被误诊为肿瘤。此时可以借助其他切面进行诊断,CT和磁共振检查也有助于鉴别诊断。

五、华法林嵴
对应于右心房的界嵴,是分隔左心耳和左上肺静脉的解剖结构。

食管超声断面图
牛角状的为患者的左心耳,上方为左上肺静脉。
二者间的隔膜为华法林嵴,类似棉签样改变。

超声心动图
可表现为Q尾征,见箭头处。
★★ 该结构是正常的,在临床诊疗过程中需要注意鉴别。
超声出现后,由于我们不认识该解剖结构,经常误诊为血栓之类的疾病,导致有些患者在早期时服用华法林(商品名Coumadin),因而得名。
上世纪80、90年代,日本学者曾提出“超声制造病”这一概念。指在没有超声检查之前,我们不知道某些疾病的存在。而在超声检查出现后,会把正常的结构误诊为疾病。界嵴和华法林嵴均属于超声制造病的典型代表,其实二者都是正常的解剖结构,但是被误诊为占位或血栓等。
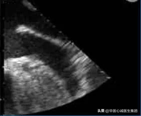
六、左心室假腱索
可起源于左心室任何一侧壁,多见于前壁和乳头肌,终止于室间隔膜部、肌部或心尖部。少数假腱索起止于乳头肌、心尖部和游离壁之间,极少数位于左心室流出道和主动脉瓣。
- 临床意义:含有一些传导束,可能引起早搏。
- 超声表现:

粗大的假腱索
从心尖处延伸到室间隔膜部。

细小的假腱索
游离壁和室间隔之间进行连接,且合并室壁瘤。
右图显示的是短轴切面。
有些学者认为左心室假腱索含有传导细胞或者异位起搏细胞。少数患者在心脏舒张时,假腱索受到牵拉,可能会导致室性早搏。但多数患者没有任何症状。
未完待续 敬请期待