“哎呀,儿子乳牙还没有掉,怎么边上就开始长牙了?医生您快帮我看下这是怎么回事……”
幼儿园高年级和小学低年级的家长们,是不是会经常碰到这个桥段?
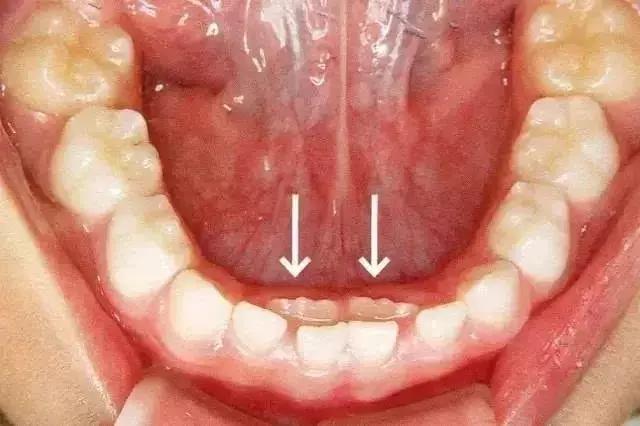
为什么会旧牙不掉长新牙呢?
这种孩子乳牙还没脱落,新牙就长出来的现象,就是所谓的“双排牙”现象。也就是医生常说的“乳牙滞留”。

箭头所指为恒牙
乳牙滞留有以下两种情况:
1. 继承恒牙已经萌出,而乳牙未脱落,称早期滞留;
2. 恒牙未萌出,但已超过正常换牙年龄极限仍未脱落的乳牙,称晚期滞留。
乳牙滞留的原因有很多,比较常见的原因是现在的小朋友饮食过于精细,牙弓长度发育不足,继承恒牙没地儿长造成萌出方向异常,乳牙牙根吸收不完全,所以不能自行脱落。
遇到这种情况,到底是拔还是不拔?
遇到乳牙滞留形成的“双排牙”,即恒牙已萌出而乳牙仍未脱落的滞留牙,家长应该尽快带孩子到口腔医院拔除滞留乳牙,为恒牙的发育腾出空间,以免影响恒牙在正常位置上的萌出。
注意一定要尽量去口腔医院,自行拔出有可能会有估量不到的风险。
但是超过换牙年龄而乳牙未脱落,恒牙又未萌出者,则不要轻易拔掉,若是恒牙先天性缺失,则应尽量保留乳牙。

食物太精细,或是乳牙滞留的罪魁祸首!
现在儿童的食品越来越多以高糖、精细、质软为主。而进食这些食物容易导致两大问题:
一是致龋。糖类食品(尤其是蔗糖)与龋齿的发生有非常密切的关系,是主要的致龋因素。而小宝宝尤其喜食糖类食品,频繁进食这类食品又不及时刷牙,糖液就易沉积在牙齿的小窝里、裂沟及缝隙等不易清洁的地方,在致龋菌的参与下大量产酸,这些酸与牙面长期接触,再加上细菌代谢产物的作用,就会产生龋齿。

其次,过频地进食精细、质软及黏稠性强的食品,使正处在发育阶段的颅、颌、面、牙齿及牙齿周围组织得不到应有的生理性刺激,使得颌骨发育不足,使将要萌出的恒牙的牙量与骨量不成正比,而导致替换恒牙萌出排列不齐,发生牙列拥挤畸形。恒牙的拥挤不齐又容易使新生的恒牙发生龋齿。
想想看,自己家里有没有各种料理机、研磨机,经常各种糊啊汁啊,给宝宝加餐?
孩子还没有到换牙期的宝妈宝爸们,你们还有机会避免这种情况哟:
1. 俗话说得好,“粗茶淡饭好养人”,食品对乳牙的刺激作用能促使乳牙正常脱落,鼓励孩子多吃些硬质粗纤维食物,比如豆类、甘蔗、玉米等等,啃起来!

2. 养成早晚刷牙、饭后漱口,尤其是吃甜食后认真漱口的卫生习惯。
3. 正在发育期间的儿童家长应该监督孩子纠正不良的习惯:咬唇、咬舌、吹口哨、咬铅笔等。